台灣醫典百科
首頁
疾病百科
藥品查詢
醫院診所
藥局地圖
名醫推薦
健康專欄
問答
淋病
淋病症狀、原因、治療與預防保健 · 淋病完整疾病指南 · 淋病專業就醫指南
淋病就診指南
掛號科室:
性病科
常見症狀:
膿性分泌物、排尿刺痛
好發人群:
18~50歲人羣
是否遺傳:
有傳染性
是否傳染:
無遺傳性
發病部位:
生殖
相關檢查:
直接塗片、培養檢查
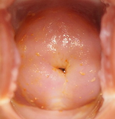
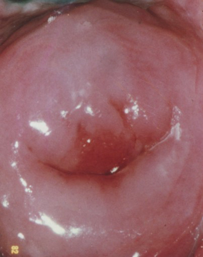
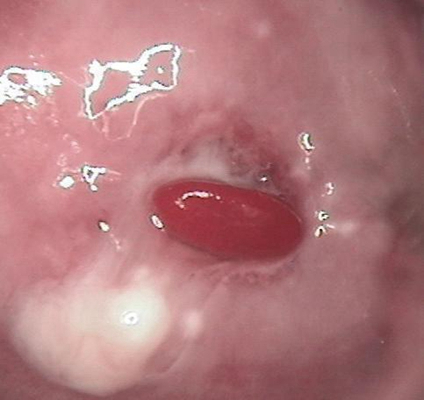
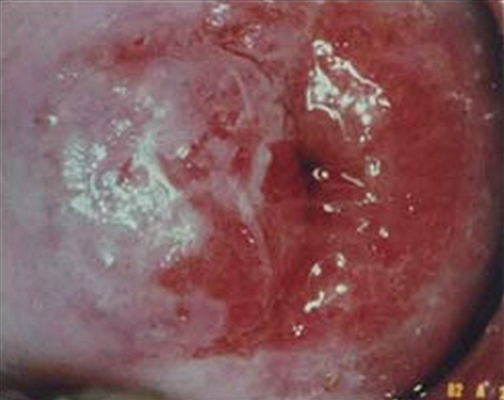
淋病圖片
淋病的症狀 (7)
淋病的症狀 (8)
淋病的症狀 (9)
淋病的症狀 (47)
淋病的症狀 (48)
淋病的症狀 (49)
淋病的症狀 (5)
淋病的症狀 (50)
淋病的症狀 (51)
淋病的症狀 (52)
淋病的症狀 (53)
淋病的症狀 (54)
淋病的症狀 (55)
淋病的症狀 (56)
淋病的症狀 (6)
淋病的症狀 (40)
淋病的症狀 (41)
淋病的症狀 (42)
淋病的症狀 (43)
淋病的症狀 (44)
淋病相關文章
治療淋病的首選藥物
2023-03-04
淋病和HPV哪個嚴重
2023-02-08
治療淋病大概需要花多少錢
2023-12-02
怎麼確定得了淋病
2023-08-19
淋病吃諾氟沙星膠囊管用嗎
2023-12-07
淋病和尿道炎的區別
2023-02-21
什麼是淋病奈瑟菌氧化酶
2023-05-13
熱淋病怎麼辦
2023-07-15
查看更多文章
淋病相關問答
Q:淋病復發的條件
A:淋病復發的條件主要有兩點:第一、原有的淋病治療都不夠徹底,尤其是一些慢性淋病如果治療的療程不夠,劑量不足,體內的淋球菌沒有被徹底殺滅。潛伏在某些部位比如尿道的腺體、隱窩、前列腺這些部位,還有少許殘餘的淋球菌沒被殺死。第二、機體的免疫力下……
Q:淋病治癒後會終身帶菌嗎
A:淋病治癒之後不會終身帶菌,淋病是由淋病雙球菌感染所引起的一種常見性傳播疾病。急性期的淋病如果能夠及時治療,使用敏感的抗菌素,往往很容易將其治癒,體內的淋球菌也可以被完全殺滅。如果拖成慢性淋病,可能會出現併發症,比如男性可引起前列腺炎、精囊炎……
Q:得了淋病龜頭會有什麼症狀
A:淋病的龜頭症狀主要是由於淋病雙球菌感染刺激,引起了龜頭的急性炎症。淋病是由淋病雙球菌感染所引起的一種性傳播疾病,淋病雙球菌主要是侵犯泌尿生殖系統的黏膜上皮,引起化膿性炎症。對男性而言,它主要是引起淋菌性尿道炎,早期症狀就是尿頻、尿急、尿痛,……
Q:慢性淋病二十年了還能治嗎
A:慢性淋病20年了肯定還是可以治療的,比如使用敏感的抗生素進行治療,還是可以將體內的淋球菌殺滅的,但是可能療程要加長,而且合併症可能難以恢復原狀。淋病是由淋病雙球菌感染所引起的一種常見的性傳播疾病,淋球菌主要是侵犯泌尿生殖系統的黏膜上皮,引……
Q:女性得了淋病什麼症狀
A:淋病是由淋病雙球菌感染所引起的一種性傳播疾病,對女性而言,感染淋病雙球菌之後主要的症狀首先是淋菌性宮頸炎,其次是尿道炎。當然有70%左右的女性感染淋球菌之後症狀很輕,甚至沒有症狀。女性淋病最常見的症狀就是陰道分泌物增多、排尿痛,還有非經期子……
Q:怎樣區別淋病和尿道炎
A:淋病是由淋病雙球菌感染引起的一種常見的性傳播疾病,急性淋病在男性主要引起淋菌性的尿道炎,主要表現是尿頻、尿急、尿痛,同時有尿道口紅腫,尿道內出現膿性分泌物。淋病本身是一種化膿性的尿道炎,尿道炎是一個統稱,所有感染和非感染引起的尿道炎症,都叫……
Q:淋球菌是什麼病
A:淋球菌主要是引起淋病,淋球菌也較淋病奈瑟氏菌或者叫淋病雙球菌,是引起人類性傳播疾病淋病的病原微生物。淋球菌主要是侵犯泌尿生殖系統的黏膜上皮,導致局部黏膜損傷和化膿性炎症感染,可引起男性和女性的淋病。如果是男性淋病,早期主要是引起淋菌性尿道炎……
Q:非淋病的症狀是什麼樣
A:非淋是常見的一種男性的尿道炎,這也屬於性傳播疾病的一種,跟不潔的性生活或者接觸不潔的物品有關係。非淋的主要表現就是尿痛、尿道灼熱感,尿道可能會流出稀薄的分泌物。跟淋病不一樣,淋病是流出的黃色的膿稠的膿液,尿常規檢查白細胞增多。對於非淋的治……
查看更多問答
淋病相關醫院推薦
長庚醫療財團法人林口長庚紀念醫院
桃園市龜山區復興街5號
醫療中心
臺中榮民總醫院
臺中市西屯區臺灣大道四段1650號
榮民醫院
國立成功大學醫學院附設醫院
台南市北區勝利路138號
大學附設醫院
臺北榮民總醫院
臺北市北投區石牌路二段201號
榮民醫院
中國醫藥大學附設醫院臺北分院
臺北市內湖區內湖路二段360號
大學附設醫院
國立臺灣大學醫學院附設醫院
臺北市中正區中山南路7號
大學附設醫院
查看更多醫院
淋病相關醫師推薦
查看更多醫師
相關藥品
特飛立 注射劑 10毫克毫升
適用於治療先前曾接受至少四線療法(包括一種蛋白酶體抑制劑、一種免疫調節劑和一種抗CD38單株抗體)的復發性或難治性多發性骨髓瘤成人病人。
“光南”抗敏寧錠(延胡索酸可利汀)
緩解過敏性鼻炎、枯草熱所引起之相關症狀(流鼻水、打噴嚏、眼睛及喉部搔癢)及過敏所引起之搔癢、皮膚癢疹。
度他雄胺
良性攝護腺增生之治療;雄性素致效劑。
邁舒丁眼藥水
急性、亞急性結膜炎、流行性結膜炎、角膜結合膜炎、毛囊結膜炎、緣角膜炎、再發性瞼腺炎、角膜受傷後之處理、砂眼、泡疹狀角膜炎
鐵士得朗針
男性荷爾蒙缺乏症、前立腺肥大、更年期障礙
×