台灣醫典百科
首頁
疾病百科
藥品查詢
醫院診所
藥局地圖
名醫推薦
健康專欄
問答
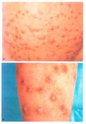
結節性癢疹
結節性癢疹症狀、原因、治療與預防保健 · 結節性癢疹完整疾病指南 · 結節性癢疹專業就醫指南
結節性癢疹就診指南
掛號科室:
皮膚科
常見症狀:
劇癢、結節性損害
好發人群:
女性
是否遺傳:
無傳染性
是否傳染:
無遺傳性
發病部位:
皮膚
相關檢查:
視診檢查
結節性癢疹圖片
結節性癢疹 (7)
結節性癢疹 (8)
結節性癢疹 (9)
結節性癢疹 (6)
結節性癢疹 (5)
結節性癢疹 (50)
結節性癢疹 (49)
結節性癢疹 (48)
結節性癢疹 (44)
結節性癢疹 (45)
結節性癢疹 (46)
結節性癢疹 (47)
結節性癢疹 (4)
結節性癢疹 (40)
結節性癢疹 (41)
結節性癢疹 (42)
結節性癢疹 (43)
結節性癢疹 (30)
結節性癢疹 (31)
結節性癢疹 (32)
結節性癢疹相關文章
結節性癢疹怎麼治療
2023-10-22
結節性癢疹怎麼能根除
2023-09-19
什麼是結節性癢疹
2023-05-28
查看更多文章
結節性癢疹相關問答
Q:什麼是結節性癢疹
A:結節癢疹是一種多發性的瘙癢性結節,這些結節主要是分佈在四肢,尤其是四肢伸側呈線狀的排列,單個皮損一般有豌豆大小或者是更大,質地是比較硬的,呈一種褐色或者是暗紅色。結節癢疹的病因實際上是不太清楚的,多種原因都可能導致本病,比如本身就是特異性皮……
Q:什麼是結節性癢疹
A:結節性癢疹主要是繼發於蚊蟲叮咬之後,或者是侷限性瘙癢,反覆刺激以後形成的一個皮膚增厚性免疫應答性反應。對於這種情況,用手觸摸質地發硬,處於一個孤立性,結節性改變,主要在屏下用手觸摸高起皮膚。並且伴隨著強烈瘙癢。該種疾病,想要治療進行選擇,使……
查看更多問答
結節性癢疹相關醫院推薦
長庚醫療財團法人林口長庚紀念醫院
桃園市龜山區復興街5號
醫療中心
臺中榮民總醫院
臺中市西屯區臺灣大道四段1650號
榮民醫院
國立成功大學醫學院附設醫院
台南市北區勝利路138號
大學附設醫院
臺北榮民總醫院
臺北市北投區石牌路二段201號
榮民醫院
中國醫藥大學附設醫院臺北分院
臺北市內湖區內湖路二段360號
大學附設醫院
國立臺灣大學醫學院附設醫院
臺北市中正區中山南路7號
大學附設醫院
查看更多醫院
結節性癢疹相關醫師推薦
查看更多醫師
相關藥品
特飛立 注射劑 10毫克毫升
適用於治療先前曾接受至少四線療法(包括一種蛋白酶體抑制劑、一種免疫調節劑和一種抗CD38單株抗體)的復發性或難治性多發性骨髓瘤成人病人。
“光南”抗敏寧錠(延胡索酸可利汀)
緩解過敏性鼻炎、枯草熱所引起之相關症狀(流鼻水、打噴嚏、眼睛及喉部搔癢)及過敏所引起之搔癢、皮膚癢疹。
度他雄胺
良性攝護腺增生之治療;雄性素致效劑。
邁舒丁眼藥水
急性、亞急性結膜炎、流行性結膜炎、角膜結合膜炎、毛囊結膜炎、緣角膜炎、再發性瞼腺炎、角膜受傷後之處理、砂眼、泡疹狀角膜炎
鐵士得朗針
男性荷爾蒙缺乏症、前立腺肥大、更年期障礙
×