喉腫瘤

喉腫瘤症狀、原因、治療與預防保健 · 喉腫瘤完整疾病指南 · 喉腫瘤專業就醫指南

喉腫瘤就診指南

掛號科室:
常見症狀:
聲音嘶啞、喘鳴
好發人群:
所有人羣
是否遺傳:
無傳染性
是否傳染:
無遺傳性
發病部位:
咽喉
相關檢查:
喉鏡、纖維鏡檢查

喉腫瘤圖片

嚴重的喉腫瘤的
嚴重的喉腫瘤的
手術割下來的喉腫瘤
手術割下來的喉腫瘤
術後喉腫瘤的
術後喉腫瘤的
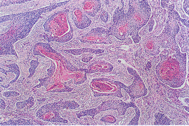
顯微鏡下惡性喉腫瘤
顯微鏡下惡性喉腫瘤
什麼是喉嚨腫瘤
什麼是喉嚨腫瘤
是不是得了喉腫瘤的
是不是得了喉腫瘤的
人體出現喉腫瘤怎樣治療
人體出現喉腫瘤怎樣治療
人體喉腫瘤症狀的
人體喉腫瘤症狀的
切下來的喉腫瘤
切下來的喉腫瘤
切除喉腫瘤
切除喉腫瘤
男性喉腫瘤術後的
男性喉腫瘤術後的
女人的喉腫瘤的表現
女人的喉腫瘤的表現
女人的喉腫瘤的症狀
女人的喉腫瘤的症狀
女性得了喉腫瘤好不好治療
女性得了喉腫瘤好不好治療
男性出現喉腫瘤的
男性出現喉腫瘤的
男性出現巨大喉腫瘤的
男性出現巨大喉腫瘤的
男性喉腫瘤的症狀
男性喉腫瘤的症狀
老太太喉腫瘤的
老太太喉腫瘤的
良性喉嚨腫瘤
良性喉嚨腫瘤
良性喉腫瘤的
良性喉腫瘤的

喉腫瘤相關問答

A:咽喉部的腫瘤可分為良性及惡性之分,它可以發生在咽喉部的任何1個部位,良性腫瘤一般情況下表面光滑,呈淡白色或淡色,質軟,無疼痛,而惡性腫瘤一般情況下,表面凹凸不平,呈菜花樣或者是火山口樣的潰瘍,局部質脆,易出血,患者會出現咽喉部異物感,聲音嘶……
A:患者出現咽喉部腫瘤的狀況時,常常會引起咽喉部一定程度的異物感、堵塞感的症狀,隨著腫瘤體積的逐步增大,這種異物感、堵塞感的症狀也會逐步的加重,甚至會對呼吸通氣以及吞嚥進食造成影響。如果咽喉部的腫瘤發生在聲門區域,就容易導致患者出現明顯的聲音嘶……

喉腫瘤相關醫院推薦

桃園市龜山區復興街5號
醫療中心
臺中市西屯區臺灣大道四段1650號
榮民醫院
台南市北區勝利路138號
大學附設醫院
臺北市北投區石牌路二段201號
榮民醫院
臺北市內湖區內湖路二段360號
大學附設醫院
臺北市中正區中山南路7號
大學附設醫院