台灣醫典百科
首頁
疾病百科
藥品查詢
醫院診所
藥局地圖
名醫推薦
健康專欄
問答
喉血管瘤
喉血管瘤症狀、原因、治療與預防保健 · 喉血管瘤完整疾病指南 · 喉血管瘤專業就醫指南
喉血管瘤就診指南
掛號科室:
腫瘤內科
常見症狀:
聲音嘶啞、咳血
好發人群:
成年人、嬰幼兒
是否遺傳:
無傳染性
是否傳染:
無遺傳性
發病部位:
咽喉
相關檢查:
喉鏡、血常規
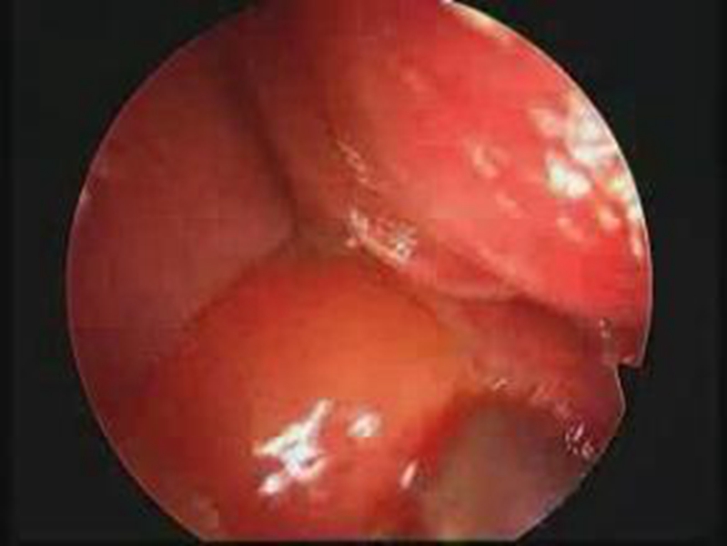
喉血管瘤圖片
喉血管瘤表現
喉血管瘤出血
喉血管瘤症狀
成人喉血管瘤檢查
成人喉血管瘤檢查的
晚期喉血管瘤診治
有沒有喉血管瘤
未患喉血管瘤的
清晰喉血管瘤
疑似喉血管瘤的
喉血管瘤相關文章
查看更多文章
喉血管瘤相關問答
查看更多問答
喉血管瘤相關醫院推薦
長庚醫療財團法人林口長庚紀念醫院
桃園市龜山區復興街5號
醫療中心
長庚醫療財團法人桃園長庚紀念醫院
桃園市龜山區頂湖路123號
醫院
臺中榮民總醫院
臺中市西屯區臺灣大道四段1650號
榮民醫院
國立成功大學醫學院附設醫院
台南市北區勝利路138號
大學附設醫院
長庚醫療財團法人台北長庚紀念醫院
臺北市松山區敦化北路199號
醫院
臺北榮民總醫院
臺北市北投區石牌路二段201號
榮民醫院
查看更多醫院
喉血管瘤相關醫師推薦
查看更多醫師
相關藥品
朝日保身安油膏
頭暈、周身癢痛、火傷、刀傷、蚊蟲咬傷、碰傷
感冒百服寧錠
感冒引起的各種症狀、如鼻塞、頭痛、發燒等之緩解
國信攣靜注射液
胃腸管痙攣性疾患(胃痛、食道、胃、幽門、十二指腸之痙攣、胃、十二指腸潰瘍、潰瘍性及痙攣性大腸炎、痙攣性便秘)膽管、膽囊痙攣性疾患(膽囊炎、膽石症之疝痛)尿道痙攣性疾患(尿道結石、腎結石、引起之疼痛)
勢克西林膠囊
對CYCLACILLIN感性葡萄球菌、鏈球菌、肺炎雙球菌、大腸菌、克雷百氏菌屬、變形桿菌及嗜血性菌感染症
樂遁-慰歐仿乳膏
細菌性感染濕疹、急性及亞急性膿皮症、痤瘡、癤病、鬚瘡、急性及亞急性黴菌感染、手腳之皮黴菌病、濕疹、表皮癬菌病
×