台灣醫典百科
首頁
疾病百科
藥品查詢
醫院診所
藥局地圖
名醫推薦
健康專欄
問答
扁桃體惡性腫瘤
扁桃體惡性腫瘤症狀、原因、治療與預防保健 · 扁桃體惡性腫瘤完整疾病指南 · 扁桃體惡性腫瘤專業就醫指南
扁桃體惡性腫瘤就診指南
掛號科室:
腫瘤外科
常見症狀:
口臭、疼痛
好發人群:
青少年
是否遺傳:
無傳染性
是否傳染:
無遺傳性
發病部位:
咽喉
相關檢查:
X線、心電圖檢查
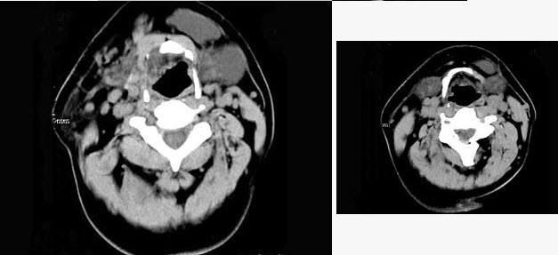
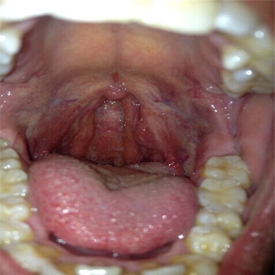
扁桃體惡性腫瘤圖片
扁桃體癌圖 (69)
扁桃體癌圖 (69)
扁桃體癌圖 (7)
扁桃體癌圖 (8)
扁桃體癌圖 (9)
扁桃體癌圖 (63)
扁桃體癌圖 (64)
扁桃體癌圖 (65)
扁桃體癌圖 (66)
扁桃體癌圖 (67)
扁桃體癌圖 (68)
扁桃體癌圖 (55)
扁桃體癌圖 (56)
扁桃體癌圖 (57)
扁桃體癌圖 (58)
扁桃體癌圖 (60)
扁桃體癌圖 (51)
扁桃體癌圖 (52)
扁桃體癌圖 (53)
扁桃體癌圖 (54)
扁桃體惡性腫瘤相關文章
扁桃體癌早期能治癒嗎
2023-02-19
扁桃體無痛腫大是癌症嗎
2023-09-24
扁桃體潰瘍會癌變嗎
2023-01-30
扁桃體摘除手術後飲食
2023-11-21
扁桃體癌的早期症狀
2023-05-17
查看更多文章
扁桃體惡性腫瘤相關問答
查看更多問答
扁桃體惡性腫瘤相關醫院推薦
長庚醫療財團法人林口長庚紀念醫院
桃園市龜山區復興街5號
醫療中心
臺中榮民總醫院
臺中市西屯區臺灣大道四段1650號
榮民醫院
國立成功大學醫學院附設醫院
台南市北區勝利路138號
大學附設醫院
長庚醫療財團法人台北長庚紀念醫院
臺北市松山區敦化北路199號
醫院
臺北榮民總醫院
臺北市北投區石牌路二段201號
榮民醫院
中國醫藥大學附設醫院臺北分院
臺北市內湖區內湖路二段360號
大學附設醫院
查看更多醫院
扁桃體惡性腫瘤相關醫師推薦
查看更多醫師
相關藥品
速麻注射劑(吉遍達)
靜脈麻醉、全身麻醉之誘導
狄克羅西林單水化鈉鹽(口服用)
葡萄球菌、鏈球菌、肺炎雙球菌、腦膜炎球菌及其他具有感受性細菌引起之感染症
麻得康膠囊
腰背痛、肩關節周圍炎、關節炎、僂麻質(風濕痛)神經痛、筋肉痛、筋強直、伴有筋異常緊張疾病、筋痙攣、硬筋症
滴露消毒藥水
殺菌、消毒。
嗽必鎮粉
鎮咳、袪痰(感冒、急慢性支氣管炎引起之喀痰、咳嗽)
×