台灣醫典百科
首頁
疾病百科
藥品查詢
醫院診所
藥局地圖
名醫推薦
健康專欄
問答
聲帶息肉
聲帶息肉症狀、原因、治療與預防保健 · 聲帶息肉完整疾病指南 · 聲帶息肉專業就醫指南
聲帶息肉就診指南
掛號科室:
耳鼻喉科
常見症狀:
聲嘶
好發人群:
所有人羣
是否遺傳:
無傳染性
是否傳染:
無遺傳性
發病部位:
咽喉
相關檢查:
喉鏡檢查、CT、MRI檢查
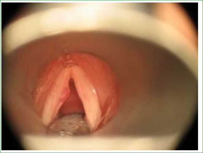
聲帶息肉圖片
左聲帶息肉保守治療前的
左聲帶息肉
治療聲帶息肉手術
早治療聲帶息肉預防癌變
右聲帶息肉
要重視聲帶息肉的防治
咽喉聲帶息肉
小兒聲帶息肉
咽喉聲帶息肉的
下支撐喉鏡聲帶息肉切除
聲帶息肉相關文章