台灣醫典百科
首頁
疾病百科
藥品查詢
醫院診所
藥局地圖
名醫推薦
健康專欄
問答
阻生齒
阻生齒症狀、原因、治療與預防保健 · 阻生齒完整疾病指南 · 阻生齒專業就醫指南
阻生齒就診指南
掛號科室:
口腔科
常見症狀:
疼痛、臉頰腫脹
好發人群:
所有人羣
是否遺傳:
無傳染性
是否傳染:
無遺傳性
發病部位:
口腔
相關檢查:
口腔科檢查、X線
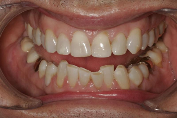
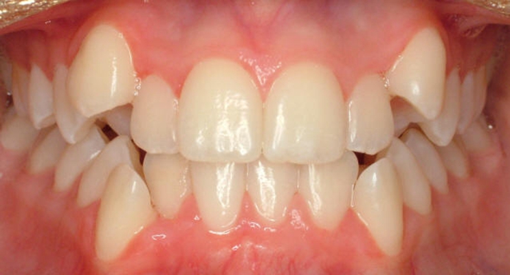
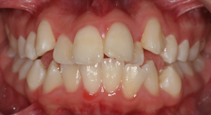
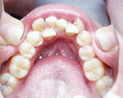
阻生齒圖片
阻生牙 (9)
阻生牙 (41)
阻生牙 (42)
阻生牙 (43)
阻生牙 (44)
阻生牙 (45)
阻生牙 (46)
阻生牙 (47)
阻生牙 (48)
阻生牙 (49)
阻生牙 (5)
阻生牙 (50)
阻生牙 (6)
阻生牙 (7)
阻生牙 (8)
阻生牙 (33)
阻生牙 (34)
阻生牙 (35)
阻生牙 (36)
阻生牙 (37)
阻生齒相關文章
骨埋伏阻生齒可以不拔嗎
2023-11-11
阻生齒拔除後的注意事項有哪些
2023-04-19
拔完阻生齒後冰敷多久
2023-01-25