口腔黏膜病

口腔黏膜病症狀、原因、治療與預防保健 · 口腔黏膜病完整疾病指南 · 口腔黏膜病專業就醫指南

口腔黏膜病就診指南

掛號科室:
常見症狀:
口舌潰爛、舌體乾裂
好發人群:
所有人羣
是否遺傳:
無傳染性
是否傳染:
無遺傳性
發病部位:
口腔
相關檢查:
實驗室檢查

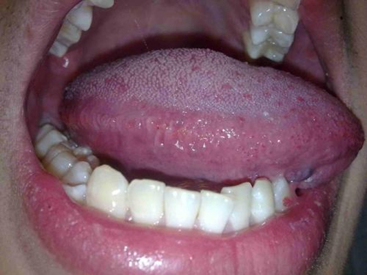
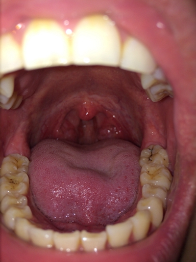
口腔黏膜病圖片

口腔念珠菌感染 (46)
口腔念珠菌感染 (46)
口腔念珠菌感染 (47)
口腔念珠菌感染 (47)
口腔念珠菌感染 (48)
口腔念珠菌感染 (48)
口腔念珠菌感染 (49)
口腔念珠菌感染 (49)
口腔念珠菌感染 (5)
口腔念珠菌感染 (5)
口腔念珠菌感染 (50)
口腔念珠菌感染 (50)
口腔念珠菌感染 (6)
口腔念珠菌感染 (6)
口腔念珠菌感染 (7)
口腔念珠菌感染 (7)
口腔念珠菌感染 (8)
口腔念珠菌感染 (8)
口腔念珠菌感染 (9)
口腔念珠菌感染 (9)
口腔念珠菌感染 (33)
口腔念珠菌感染 (33)
口腔念珠菌感染 (34)
口腔念珠菌感染 (34)
口腔念珠菌感染 (35)
口腔念珠菌感染 (35)
口腔念珠菌感染 (36)
口腔念珠菌感染 (36)
口腔念珠菌感染 (37)
口腔念珠菌感染 (37)
口腔念珠菌感染 (38)
口腔念珠菌感染 (38)
口腔念珠菌感染 (39)
口腔念珠菌感染 (39)
口腔念珠菌感染 (4)
口腔念珠菌感染 (4)
口腔念珠菌感染 (40)
口腔念珠菌感染 (40)

口腔黏膜病相關問答

A:口腔粘膜病可以使用複方硼砂漱口水,或依沙吖啶漱口水含漱,每日4-6次,這兩者都可以有效的起到抑菌消炎的作用。同時如果在恢復期的時候,可以使用康復新液含漱,能起到促進粘膜癒合的作用。可以口服維生素b12片、維生素c片補充營養。如有紅、腫、熱、……
A:口腔黏膜病變的治療方法包括:1、皰疹性病變,可在局部塗布金喉健、康復新液等,結合應用病毒唑、干擾素、聚肌胞、板藍根等藥物,並注重提高機體免疫力。2、感染性黏膜病變,可應用頭孢類和硝基咪唑類抗生素控制細菌增生;伴發真菌感染時,可應用制黴菌素、……
A:口腔黏膜病是發生在口腔唇、頰、舌、牙齦、上顎等部位的慢性炎症或病變。與機體免疫力下降、精神壓力較大、內分泌紊亂、激素水平不穩定、病毒感染、營養缺乏、微循環障礙等有關。口腔黏膜病包括細菌或真菌感染類疾病、皰疹類疾病、潰瘍類疾病、大皰性疾病、唇……
A:口腔血皰主要有以下兩方面原因:1、進食熱熟食,由於溫度較高,會導致口腔黏膜燙傷而出現血皰,可以暫不處理,注意口腔衛生,禁食辛辣刺激性食物,血皰會慢慢消失。2、血液系統性疾病,像白細胞減少症或者血小板減少症,也會引起口腔的血皰,這種不僅口腔內……
A:以無症狀者無需治療,定期觀察。局部的糜爛性病變可在糜爛基底處注射糖皮質激素每週一次,還可用0.1%-0.2的氯已定溶液或複方硼砂溶液漱口。對於廣泛性糜爛的扁平苔蘚,患者可考慮局部和全身治療,全身小劑量應用糖皮質激素,以及口服雷公藤多苷片。長……
A:口腔黏膜病是口腔某一部位黏膜的正常色澤、外形、完整性與功能發生改變的疾病。病變種類繁多,症狀表現為:聲音嘶啞,舌體乾裂,口乾口苦,口舌潰爛等。建議可口服牛黃解毒片或維生素B2,局部可用西瓜霜噴劑噴於患處,或者用康復新液漱口,可有效促進癒合。……
A:口腔內壁掉薄薄的白皮,一方面考慮口腔上皮細胞生理性脫落,口腔上皮細胞每天都在新陳代謝,每天都有細胞脫落,然後新的細胞產生。特別是早晨,口腔比較乾燥時,會出現大量的內皮脫落,建議可以適當補充維生素,作息規律等。另一方面就是病理性的口腔上皮細胞……
A:口腔黏膜病指口腔黏膜的損壞,可由多種疾病導致,不同疾病的表現有所不同。常見疾病如下: 1.皰疹性口炎和唇皰疹。口腔黏膜上形成散在的許多粟粒樣大小的水皰,數量不等,皰破後成潰瘍。有些病人尤其嬰幼兒伴有牙齦紅腫,稱之為皰疹性齦口炎。 2.口腔白……

口腔黏膜病相關醫院推薦

桃園市龜山區復興街5號
醫療中心
臺中市西屯區臺灣大道四段1650號
榮民醫院
台南市北區勝利路138號
大學附設醫院
臺北市北投區石牌路二段201號
榮民醫院
臺北市內湖區內湖路二段360號
大學附設醫院
臺北市中正區中山南路7號
大學附設醫院