台灣醫典百科
首頁
疾病百科
藥品查詢
醫院診所
藥局地圖
名醫推薦
健康專欄
問答
血管炎
血管炎症狀、原因、治療與預防保健 · 血管炎完整疾病指南 · 血管炎專業就醫指南
血管炎就診指南
掛號科室:
風濕免疫科
常見症狀:
隆起性紫癜
好發人群:
所有人羣
是否遺傳:
無傳染性
是否傳染:
無遺傳性
發病部位:
血管
相關檢查:
血常規、纖維蛋白原
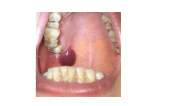
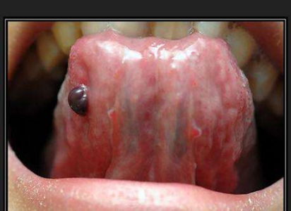
血管炎圖片
血皰 (9)
血皰 (8)
血皰 (6)
血皰 (60)
血皰 (61)
血皰 (62)
血皰 (7)
血皰 (54)
血皰 (55)
血皰 (56)
血皰 (57)
血皰 (58)
血皰 (59)
血皰 (49)
血皰 (5)
血皰 (50)
血皰 (51)
血皰 (52)
血皰 (53)
血皰 (43)
血管炎相關文章
什麼是嬰兒鮮紅斑
2023-12-27
血管炎後果
2023-12-20