感染

感染症狀、原因、治療與預防保健 · 感染完整疾病指南 · 感染專業就醫指南

感染就診指南

掛號科室:
常見症狀:
體溫升高、白細胞增多
好發人群:
所有人羣
是否遺傳:
無傳染性
是否傳染:
無遺傳性
發病部位:
血液
相關檢查:
體格檢查、血常規檢查

感染圖片

幼兒呼吸道感染
幼兒呼吸道感染
呼吸道感染症狀
呼吸道感染症狀
呼吸道感染
呼吸道感染
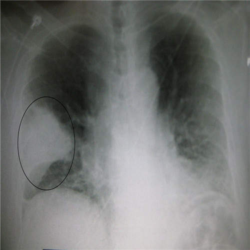
重度呼吸道感染肺部
重度呼吸道感染肺部
重度呼吸道感染患兒治療
重度呼吸道感染患兒治療
重度呼吸道感染
重度呼吸道感染
重度呼吸道感染腫大
重度呼吸道感染腫大
重症呼吸道感染培養
重症呼吸道感染培養
呼吸道感染支原體電鏡下
呼吸道感染支原體電鏡下
口腔內呼吸道感染
口腔內呼吸道感染
呼吸道感染引發皮膚皰疹
呼吸道感染引發皮膚皰疹
呼吸道感染引發其他疾病
呼吸道感染引發其他疾病
呼吸道感染者扁桃體發炎切除物
呼吸道感染者扁桃體發炎切除物
呼吸道感染胸腔積液胸片下觀察
呼吸道感染胸腔積液胸片下觀察
呼吸道感染咽拭子取樣
呼吸道感染咽拭子取樣
呼吸道感染一側潰爛
呼吸道感染一側潰爛
呼吸道感染細菌
呼吸道感染細菌
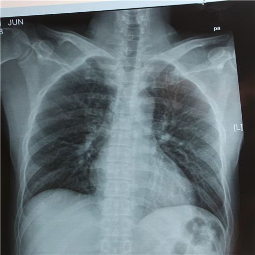
呼吸道感染胸片檢查
呼吸道感染胸片檢查
呼吸道感染口腔內部發炎
呼吸道感染口腔內部發炎
呼吸道感染兩側發炎
呼吸道感染兩側發炎

感染相關問答

A:細菌感染的治療需要應用抗菌藥物治療,抗菌藥物如何選擇?需要先判斷可能感染的細菌是革蘭陽性菌,還是革蘭陰性菌,是需氧菌還是厭氧菌。判斷這些細菌的感染,需要結合患者感染的部位,以及是院內感染還是院外感染,是否有基礎疾病、機體的免疫功能狀態如何……
A:泌尿道感染的主要特點如下:1、排尿的刺激症狀:經過尿液化驗檢查或者尿培養,發現尿液裡面存在白細胞過多,硝酸鹽、白細胞酯酶陽性等,甚至可以通過中段的尿培養,培養出來致病的微生物,是泌尿系感染的主要特點;2、下尿路刺激症狀:包括尿頻、尿急、……
A:沙門氏菌感染首選喹諾酮類抗生素,比如左氧氟沙星、環丙沙星、加替沙星等。三代頭孢菌素對沙門氏菌感染也有良好的作用,比如頭孢曲松、頭孢他啶等。沙門氏菌廣泛分佈於自然界,是最常見的引起食物中毒的病原菌之一,其中又以鼠傷寒沙門氏菌、腸炎沙門氏菌、豬……
A:預防新型冠狀病毒感染,注意手衛生是非常重要的。因為新型冠狀病毒感染的傳播途徑之一就是密切接觸傳播,密切接觸傳播就是通過跟新型冠狀病毒感染患者接觸,還有是接觸含有新型冠狀病毒的物品。我們的手在摸鼻子、眼部,通過這樣來傳播,手衛生非常重要,推薦……
A:新冠病毒感染通常是指新型冠狀病毒感染,感染初期僅累及上呼吸道,可能會出現打噴嚏的現象,但主要為咽乾、咽痛等。新冠病毒感染初期病毒入侵上呼吸道主要會出現咽乾、咽痛的不適症狀,同時還可能會伴隨發熱、咳嗽、乏力的現象,少數患者伴有打噴嚏、流鼻涕……
A:真菌感染分為淺部的皮下的感染,還有深部的感染。皮膚的感染,一般的療程是2-4周,2-4周需要充分抗真菌的治療,外用藥物或者口服藥物才能達到痊癒。對於指甲來說,推薦口服藥物,只有口服藥物才能達到痊癒,手指甲需要口服藥2-3個月,腳趾甲需要口服……
A:新型冠狀病毒感染確實可以出現發熱這個症狀,但同時也伴有其他症狀,如乏力、乾咳,少部分患者有鼻塞、咽痛、肌痛等症狀,部分新型冠狀病毒感染患者可能伴有腹瀉、嗅覺、味覺減退等臨床症狀。突然高燒在臨床上最常見的是流行性感冒和普通感冒,也可以見於其……
A:新冠是指新型冠狀病毒,新型冠狀病毒感染患者的症狀表現具有多樣性,部分患者可能無症狀,但也有部分患者會出現打噴嚏、咳嗽、咽乾、咽痛、發熱等症狀。但對於新型冠狀病毒感染患者來說,打噴嚏並不是特異性症狀,所以並不能依靠症狀來明確是否感染新型冠狀病……

感染相關醫院推薦

桃園市龜山區復興街5號
醫療中心
臺中市西屯區臺灣大道四段1650號
榮民醫院
台南市北區勝利路138號
大學附設醫院
臺北市北投區石牌路二段201號
榮民醫院
臺北市內湖區內湖路二段360號
大學附設醫院
臺北市中正區中山南路7號
大學附設醫院