漏斗胸

漏斗胸症狀、原因、治療與預防保健 · 漏斗胸完整疾病指南 · 漏斗胸專業就醫指南

漏斗胸就診指南

掛號科室:
常見症狀:
心悸、胸廓異常
好發人群:
所有人羣
是否遺傳:
無傳染性
是否傳染:
有遺傳幾率
發病部位:
胸腔
相關檢查:
X線檢查、胸部MRI

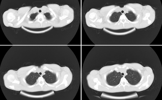
漏斗胸圖片

漏斗胸的
漏斗胸的
漏斗胸的
漏斗胸的
漏斗胸的
漏斗胸的
漏斗胸的
漏斗胸的
漏斗胸的
漏斗胸的
漏斗胸的
漏斗胸的
漏斗胸的
漏斗胸的
漏斗胸的
漏斗胸的
漏斗胸的
漏斗胸的
漏斗胸的
漏斗胸的
漏斗胸的
漏斗胸的
漏斗胸的
漏斗胸的
漏斗胸的
漏斗胸的
漏斗胸的
漏斗胸的
漏斗胸的
漏斗胸的
漏斗胸的
漏斗胸的
漏斗胸的
漏斗胸的
漏斗胸的
漏斗胸的
漏斗胸的
漏斗胸的
漏斗胸的
漏斗胸的

漏斗胸相關問答

A:寶寶輕微漏斗胸通常情況下是不要緊的。因為輕微漏斗胸只是從外觀上影響美觀,但是並不影響到寶寶胸腔內臟器的發育,所以並不會威脅到患兒的健康,但是輕微漏斗胸如果不及時採取干預措施,出現加重的趨勢時,有可能會影響到肺臟以及心臟等器官的發育就比較嚴重……
A:漏斗胸是前胸明顯凹陷,還會伴有駝背,上腹突出等特徵。會隨著年齡增長,逐漸變嚴重的趨勢,導致心臟和肺組織受壓迫影響心肺功能,導致呼吸不順暢,呼吸急促,還容易併發哮喘,反覆呼吸道感染等嚴重病症。嚴重的胸部骨骼變形是沒有辦法恢復的,會伴隨患兒一生……
A:兒童漏斗胸矯正手術價格一般在兩萬到三萬元之間,一般情況下漏斗胸在兒童一到三歲時比較常見,如果下陷程度較低,一般是可以自愈的,但如果病情程度較重,凹陷較深,需要通過手術的方法進行治療。 在手術恢復之後,一般情況下是不會出現復發的情況,但如果術……
A:先天性漏斗胸診斷依據一般可以根據胸廓的視診、胸部CT、心電圖等方面的檢查來確認,具體可以到當地的醫院做了解。先天性漏斗胸的形成可能是與遺傳、或者是伴隨有某種先天疾病導致的。患者通常表現為前胸凹陷,肩膀前伸,略帶駝背等症狀。輕微的畸形可以暫時……
A:孩子出現漏斗胸多數考慮是由於體內缺鈣引起的。一歲四個月寶寶漏斗胸需要及時給孩子補充鈣劑,孩子體內的鈣劑充足以後,孩子漏斗胸症狀會自行緩解。孩子服用補鈣產品期間,建議配合口服維生素d3,多曬太陽促進鈣的吸收。補充鈣劑以後還要注意檢查孩子對鈣劑……
A:兒童輕度漏斗胸側面是向內凹陷變形的情況。一般情況下兒童輕度漏斗胸是不需要經過特殊治療的,如果兒童年齡較小,隨著身體的成長和發育是有可能自愈的,也可以採取保守治療和矯正治療的方法,幫助改善兒童漏斗胸的情況。日常生活中可以讓兒童做擴胸擴肩等活動……
A:嬰兒的先天性漏斗胸,因為藥物治療基本沒有效果,嚴重的一般都需要手術矯正。嬰兒的先天性漏斗胸的處理分以下兩種情況:第一、輕微的、不伴有其他異常,如肋骨外翻的可以觀察,日常補充魚肝油和鈣劑,隨著寶寶生長發育,情況會有所改善的;第二、這個漏斗胸影……
A:小兒漏斗胸的治療主要是以手術治療方式為主,臨床上可分為傳統手術方法以及微創矯形手術。傳統的手術包括胸骨翻轉術以及胸肋抬舉術兩種, 但是對於傳統手術,對孩子的創傷比較大。所以臨床上,目前採用微創漏斗胸矯形手術的方式比較多,是將塑形好的合金鋼板……

漏斗胸相關醫院推薦

桃園市龜山區復興街5號
醫療中心
臺中市西屯區臺灣大道四段1650號
榮民醫院
台南市北區勝利路138號
大學附設醫院
臺北市北投區石牌路二段201號
榮民醫院
臺北市內湖區內湖路二段360號
大學附設醫院
臺北市中正區中山南路7號
大學附設醫院