台灣醫典百科
首頁
疾病百科
藥品查詢
醫院診所
藥局地圖
名醫推薦
健康專欄
問答
子宮頸糜爛
子宮頸糜爛症狀、原因、治療與預防保健 · 子宮頸糜爛完整疾病指南 · 子宮頸糜爛專業就醫指南
子宮頸糜爛就診指南
掛號科室:
婦科
常見症狀:
無特殊症狀,可能有出血
好發人群:
女性
是否遺傳:
無傳染性
是否傳染:
無遺傳性
發病部位:
生殖
相關檢查:
婦科檢查、宮頸刮片檢查
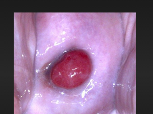
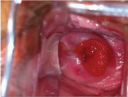
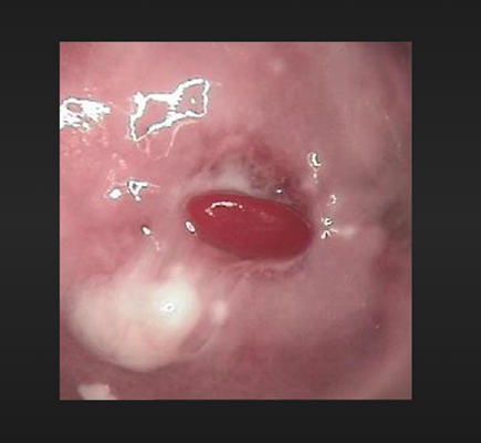
子宮頸糜爛圖片
宮頸糜爛 (8)
宮頸糜爛 (9)
宮頸糜爛 (56)
宮頸糜爛 (57)
宮頸糜爛 (58)
宮頸糜爛 (59)
宮頸糜爛 (6)
宮頸糜爛 (60)
宮頸糜爛 (7)
宮頸糜爛 (40)
宮頸糜爛 (41)
宮頸糜爛 (42)
宮頸糜爛 (43)
宮頸糜爛 (44)
宮頸糜爛 (45)
宮頸糜爛 (46)
宮頸糜爛 (47)
宮頸糜爛 (48)
宮頸糜爛 (49)
宮頸糜爛 (5)
子宮頸糜爛相關文章
葡聚糖陰道填塞劑可以治療宮頸糜爛嗎
2023-02-13
未婚女子會得宮頸糜爛嗎
2023-02-13
宮頸糜爛複查做什麼檢查
2023-02-08
宮頸糜爛怎麼引起的
2023-01-22
宮頸糜爛手術後多久複查
2023-06-09
宮頸糜爛冷凍手術多少錢
2023-12-19
宮頸糜爛2度需要治療嗎
2023-12-18
宮頸糜爛是什麼引起的
2023-12-18
查看更多文章
子宮頸糜爛相關問答
Q:輕度宮頸糜爛怎麼治療
A:輕度的宮頸糜爛有的時候是生理的現象,是因為宮頸的鱗柱交界處的柱狀上皮受到雌激素的影響後,發生外延延伸的異位,輕度的糜爛不需要治療的,有的時候會隨著月經週期雌激素的變化而出現自愈,在絕經以後因為體內的雌激素水平的下降也會自愈和好轉。有的時候因……
Q:宮頸糜爛Ⅰ度怎麼治療
A:宮頸糜爛Ⅰ度不需要進行特殊治療,屬於一種正常的生理現象,只要定期的進行宮頸癌的篩查就可以。如果有接觸性的出血,或者陰道分泌物增多、有異味,及時的到醫院進行相應的檢查就可以。宮頸糜爛是屬於一種正常的生理現象,隨著女性性激素的變化,子宮、卵巢……
Q:怎麼判斷宮頸糜爛好了
A:宮頸糜爛在臨床上認為不是病,不是病就不存在能不能好的問題。正常女性的宮頸有鱗狀上皮和柱狀上皮,都屬於正常上皮。當宮頸的柱狀上皮覆蓋了鱗狀上皮的時候,臨床上檢查可以看到宮頸呈紅色樣的改變,通常稱為宮頸糜爛。根據柱狀上皮覆蓋宮頸面積的大小,分為……
Q:重度宮頸糜爛10年了能治好嗎
A:重度宮頸糜爛十年了能治好嗎?宮頸糜爛本身不是病,不是病就不存在能不能治好的問題,宮頸上皮有鱗狀上皮和柱狀上皮,都屬於正常上皮,當宮頸的柱狀上皮覆蓋鱗狀上皮的時候,在檢查的時候可以看到宮頸呈紅色的改變,通常稱為宮頸糜爛,根據柱狀上皮覆蓋宮頸面……
Q:微波治療宮頸糜爛效果怎麼樣
A:微波治療子宮頸糜爛的效果還是很好的,在臨床的總有效率可以達到98%左右。微波治療子宮頸糜主要是針對中度到重度的子宮頸糜爛,而且有症狀的患者。在做微波治療之前先要做防癌篩查,要除外宮頸的癌前病變。微波治療主要是對宮頸組織產生熱效應,使組織蛋白……
Q:宮頸糜爛中度嚴重嗎
A:宮頸糜爛中度不嚴重,宮頸糜爛在臨床上來講不屬於疾病,所以不嚴重。宮頸糜爛多半是指宮頸管的柱狀上皮外翻至宮頸陰道部,根據柱狀上皮覆蓋面積的大小,分為輕度、中度、重度。在做婦科檢查的時候可以看到宮頸表面潮紅、溼潤、略粗糙,這種宮頸糜爛是一種生理……
Q:宮頸糜爛能同房嗎有影響嗎
A:宮頸糜爛還是可以同房的,一般情況下沒有什麼影響。現在宮頸糜爛在教科書上這個名詞已經消失了,取而代之的是宮頸柱狀上皮異位,認為過去的宮頸糜爛,是由於宮頸粘膜的柱狀上皮異位到宮頸表面。由於宮頸的柱狀上皮特別的薄,透過柱狀上皮能看到宮頸的間質,而……
Q:殼聚糖婦科凝膠能治好宮頸糜爛嗎
A:殼聚糖婦科凝膠具有修復、再生和促進潰瘍癒合的作用,臨床上多用於細菌性陰道炎、念珠菌性陰道炎和宮頸糜爛的輔助治療,所以殼聚糖凝膠是不能夠完全治好宮頸糜爛的,它只是能夠幫助減輕因為宮頸糜爛引起的症狀,例如白帶增多等症狀。臨床上治療宮頸糜爛要看……
查看更多問答
子宮頸糜爛相關醫院推薦
長庚醫療財團法人林口長庚紀念醫院
桃園市龜山區復興街5號
醫療中心
臺中榮民總醫院
臺中市西屯區臺灣大道四段1650號
榮民醫院
國立成功大學醫學院附設醫院
台南市北區勝利路138號
大學附設醫院
臺北榮民總醫院
臺北市北投區石牌路二段201號
榮民醫院
中國醫藥大學附設醫院臺北分院
臺北市內湖區內湖路二段360號
大學附設醫院
國立臺灣大學醫學院附設醫院
臺北市中正區中山南路7號
大學附設醫院
查看更多醫院
子宮頸糜爛相關醫師推薦
查看更多醫師
相關藥品
特飛立 注射劑 10毫克毫升
適用於治療先前曾接受至少四線療法(包括一種蛋白酶體抑制劑、一種免疫調節劑和一種抗CD38單株抗體)的復發性或難治性多發性骨髓瘤成人病人。
“光南”抗敏寧錠(延胡索酸可利汀)
緩解過敏性鼻炎、枯草熱所引起之相關症狀(流鼻水、打噴嚏、眼睛及喉部搔癢)及過敏所引起之搔癢、皮膚癢疹。
度他雄胺
良性攝護腺增生之治療;雄性素致效劑。
邁舒丁眼藥水
急性、亞急性結膜炎、流行性結膜炎、角膜結合膜炎、毛囊結膜炎、緣角膜炎、再發性瞼腺炎、角膜受傷後之處理、砂眼、泡疹狀角膜炎
鐵士得朗針
男性荷爾蒙缺乏症、前立腺肥大、更年期障礙
×