台灣醫典百科
首頁
疾病百科
藥品查詢
醫院診所
藥局地圖
名醫推薦
健康專欄
問答
子宮頸炎
子宮頸炎症狀、原因、治療與預防保健 · 子宮頸炎完整疾病指南 · 子宮頸炎專業就醫指南
子宮頸炎就診指南
掛號科室:
婦科
常見症狀:
陰道分泌物增多
好發人群:
女性
是否遺傳:
無傳染性
是否傳染:
無遺傳性
發病部位:
生殖
相關檢查:
分泌物塗片
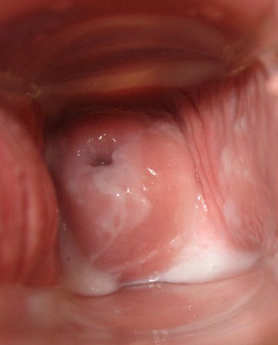
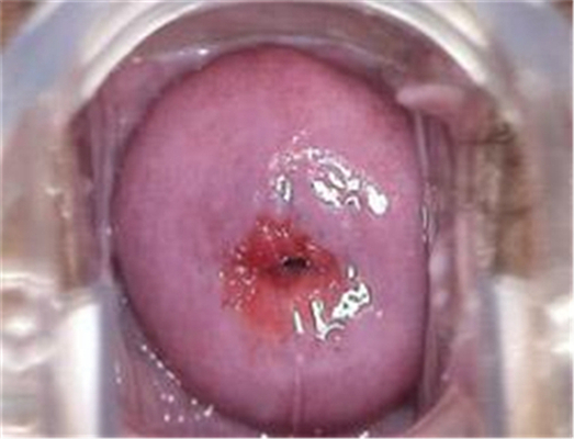
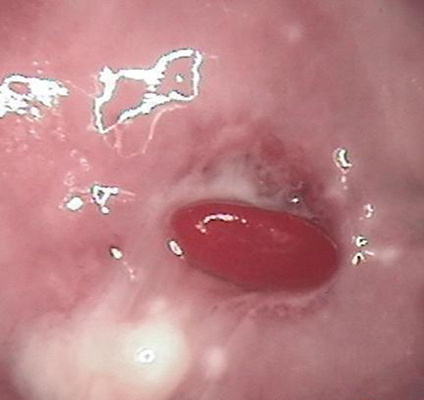
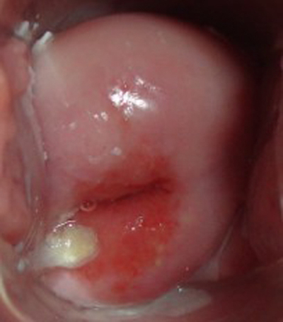
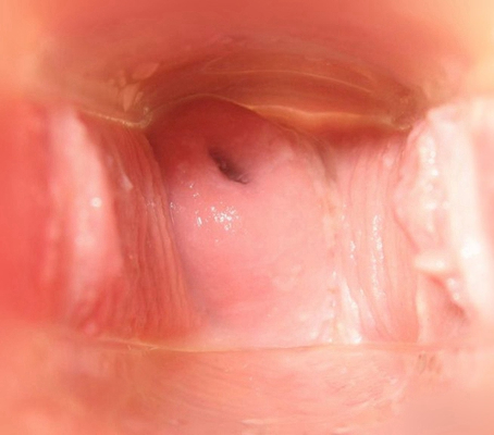
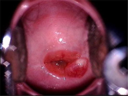
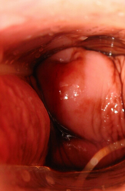
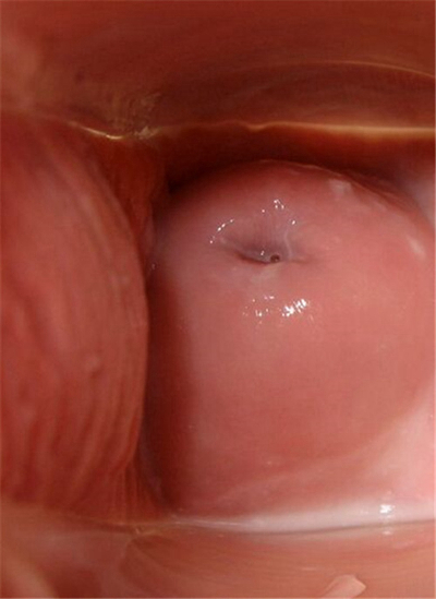
子宮頸炎圖片
宮頸炎
宮頸炎
宮頸炎
宮頸炎
宮頸炎
宮頸炎
宮頸炎
宮頸炎
宮頸炎
宮頸炎
宮頸炎
宮頸炎
宮頸炎
宮頸炎
宮頸炎
宮頸炎
宮頸炎
宮頸炎
宮頸炎
宮頸炎
子宮頸炎相關文章
宮頸炎多久變成宮頸癌
2023-02-08
宮頸炎出血一般幾天
2023-02-08
性出血了怎麼辦
2023-06-22
宮頸刮片和HPV要一起做嗎
2023-08-25
國產二價疫苗有交叉保護嗎
2023-01-22
人乳頭瘤病毒39型陽性
2023-12-08
宮頸摸起來像腫了一樣
2023-06-18
下面總有白色膏狀質地的東西
2023-11-05
查看更多文章
子宮頸炎相關問答
Q:宮頸炎出血多久停止
A:宮頸炎的出血多久能夠停止,這要看是什麼類型的宮頸炎。如果是宮頸的糜爛,往往會發生接觸性出血,比如同房以後出血,或者在做完婦科檢查以後出血,這種出血一般2-3天會自動的停止。如果是宮頸息肉引起的出血,這種出血會有間段性少許陰道出血,但是並不……
Q:宮頸炎出血是什麼顏色
A:宮頸炎的出血多為鮮紅色,但僅憑出血的顏色是無法鑑別是否是宮頸炎導致的出血,無論是急性宮頸炎還是慢性宮頸炎,都有可能會導致陰道的出血。出血多為鮮紅色,表現為同房後的出血以及月經期的出血,除了出血症狀以外,也可能會有陰道分泌物的異常,比如黏液膿……
Q:用艾葉怎麼治好宮頸炎症
A:艾葉主要有清熱涼血、解毒、活血調經、利尿消腫的作用,用艾葉或者艾葉水來燻蒸外陰部治療宮頸炎,效果很低,所以不用艾葉作為治療宮頸炎的主要手段。慢性宮頸炎也是女性常見的炎症性疾病,慢性宮頸炎本身也有許多種,例如說宮頸息肉、宮頸糜爛,宮頸糜爛又分……
Q:宮頸炎同房後出血特點
A:宮頸炎患者出血的特點主要是同房後出血,同房後出血的特點主要是鮮紅色的血,量不會太多,一般不會多於月經量,持續的時間也不會太長,通常2-3天左右能夠自行的停止。過去所說的宮頸炎主要指的是宮頸糜爛,現在認為宮頸糜爛是宮頸管柱狀上皮的異位,這種宮……
Q:慢性宮頸炎的典型表現是什麼
A:慢性宮頸炎的典型表現是小腹和腰骶部的輕微酸脹感、白帶增多,宮頸局部可能會出現肥大增生的表現。建議這部分女性積極到門診通過婦科檢查、白帶常規、宮頸TCT檢查,以及婦科B超來進行綜合的診斷。如果診斷慢性宮頸炎應該積極的治療,治療的方法以局部消炎……
Q:宮頸炎治療
A:宮頸炎的治療要依據宮頸炎的致病因素對因治療,宮頸炎的致病因素包括各種類型的病原體感染,比如比較常見的沙眼衣原體引起的宮頸炎需要用阿奇黴素治療;淋球菌引起的宮頸炎需要用頭孢類抗生素進行治療。陰道內的需氧菌及厭氧菌導致的宮頸炎,比較常見的細菌性……
Q:驗白帶能查出宮頸炎嗎
A:陰道白帶的常規化驗,主要是瞭解陰道的情況,而不是查宮頸炎。陰道的白帶是查陰道內有沒有黴菌的感染,有沒有滴蟲的感染,有沒有細菌性的陰道炎,還有陰道清潔度的情況,所以白帶常規的檢查主要是瞭解陰道的情況。宮頸炎一般是通過醫生在做內診,用肉眼觀察……
Q:慢性宮頸炎可以同房嗎
A:急性宮頸炎和慢性宮頸炎的病因都是異位同房造成的,也不能說不同房,實際上慢性宮頸炎的患者當然是可以同房的,但是還是建議大家同房的時候儘量用避孕套同房。除了避孕作用之外,還可以防止細菌對宮頸的傷害,減少慢性宮頸炎的繼續進展。慢性宮頸炎,顧名思……
查看更多問答
子宮頸炎相關醫院推薦
長庚醫療財團法人林口長庚紀念醫院
桃園市龜山區復興街5號
醫療中心
臺中榮民總醫院
臺中市西屯區臺灣大道四段1650號
榮民醫院
國立成功大學醫學院附設醫院
台南市北區勝利路138號
大學附設醫院
臺北榮民總醫院
臺北市北投區石牌路二段201號
榮民醫院
中國醫藥大學附設醫院臺北分院
臺北市內湖區內湖路二段360號
大學附設醫院
國立臺灣大學醫學院附設醫院
臺北市中正區中山南路7號
大學附設醫院
查看更多醫院
子宮頸炎相關醫師推薦
查看更多醫師
相關藥品
特飛立 注射劑 10毫克毫升
適用於治療先前曾接受至少四線療法(包括一種蛋白酶體抑制劑、一種免疫調節劑和一種抗CD38單株抗體)的復發性或難治性多發性骨髓瘤成人病人。
“光南”抗敏寧錠(延胡索酸可利汀)
緩解過敏性鼻炎、枯草熱所引起之相關症狀(流鼻水、打噴嚏、眼睛及喉部搔癢)及過敏所引起之搔癢、皮膚癢疹。
度他雄胺
良性攝護腺增生之治療;雄性素致效劑。
邁舒丁眼藥水
急性、亞急性結膜炎、流行性結膜炎、角膜結合膜炎、毛囊結膜炎、緣角膜炎、再發性瞼腺炎、角膜受傷後之處理、砂眼、泡疹狀角膜炎
鐵士得朗針
男性荷爾蒙缺乏症、前立腺肥大、更年期障礙
×