天皰瘡

天皰瘡症狀、原因、治療與預防保健 · 天皰瘡完整疾病指南 · 天皰瘡專業就醫指南

天皰瘡就診指南

掛號科室:
常見症狀:
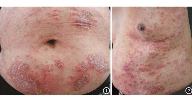
水泡、糜爛
好發人群:
50~60歲
是否遺傳:
無傳染性
是否傳染:
無遺傳性
發病部位:
皮膚
相關檢查:
直接免疫熒光檢查法

天皰瘡圖片

天皰瘡
天皰瘡
天皰瘡
天皰瘡
天皰瘡
天皰瘡
天皰瘡
天皰瘡
天皰瘡
天皰瘡
天皰瘡
天皰瘡
天皰瘡
天皰瘡
天皰瘡
天皰瘡
天皰瘡
天皰瘡
天皰瘡
天皰瘡
天皰瘡
天皰瘡
天皰瘡
天皰瘡
天皰瘡
天皰瘡
天皰瘡
天皰瘡
天皰瘡
天皰瘡
天皰瘡
天皰瘡
天皰瘡
天皰瘡
天皰瘡
天皰瘡
天皰瘡
天皰瘡
天皰瘡
天皰瘡

天皰瘡相關問答

A:天皰瘡患者只要能夠規範的堅持治療,通常是可以長期存活的。天皰瘡是一種比較嚴重的自身免疫性大皰性皮膚病,在以前沒有發明糖皮質激素、免疫抑制劑治療天皰瘡之前,天皰瘡的病死率是比較高的。但是目前關於天皰瘡的治療已經有了很大的進展,只要患者根據醫囑……
A:天皰瘡是一種相對發病率比較低的自身免疫性疾病,病因並不是完全清楚。從流行病學來講,得天皰瘡的人多數是中年人,一般是40-60歲的人比較多。男女發病率基本相近,也有的報道講女性發病例略多於男性。一般每年發病率大概是10萬個人中有0.5-3.2……
A:天皰瘡這種疾病肯定是能夠治療的,只不過這種情況抓緊時間進行治療的話,治療的時間可能會縮短,效果可能會更好,這種情況一般建議在身上出現水泡的時候,抓緊時間進行確診就住院治療,可以選擇使用激素衝擊治療,並且配合一些抗生素類藥物靜脈輸液,在整個已……
A:家族性慢性良性天皰瘡,在普外科比較常見,患者多是因為身體某部位或者全身出現皮損、紅斑、鬆弛性水皰而就診,本病發生常常可能是因為常染色體顯性遺傳,所以,臨床上天皰瘡發病有家族聚集性。本病發生常常會在頸側、腋窩、腹股溝等出現皮損、鬆弛性水皰、易……
A:不是,天皰瘡是一種慢性、複發性、嚴重的表皮內棘刺鬆懈性大皰性皮膚病。病因是由於一些不明確的因素產生表皮間棘細胞間抗體,作用於棘細胞的組織引起棘細胞鬆解或者水皰的自身免疫系統反應。好發於中年人,臨床表現上大概分為四型,即尋常型天皰瘡,增殖型天……
A:天皰瘡是能夠治好的,但是這種疾病本身,它的預後並不是特別的好,很多人在治療過程中可能會導致身上留下一些水皰破裂之後的痕跡,該種情況一般建議選擇使用激素衝擊療法,或者是配合免疫抑制劑,比如說口服雷公藤多苷等等,在治療的時候必然會對身體造成刺激……
A:天皰瘡是一種慢性的,複發性的大皰性皮膚病,它的主要發病機理和免疫因素是有一定的關係的。天皰瘡按照臨床表現的不同,可分為尋常型天皰瘡,增殖型天皰瘡,紅斑型天皰瘡等多種類型。治療主要以激素類的藥物如潑尼松片以及免疫抑制劑如甲氨蝶蛉等為主要治療方……
A:口腔天皰瘡是慢性黏膜皮膚自身免疫性疾病,與機體免疫力下降和病毒感染有關。臨床表現為:口腔黏膜出現較大的水皰,容易破潰,露出紅色的病損區;發生糜爛後,可產生明顯的刺激痛。糜爛面不易癒合,常發生感染;皮膚也會出現大小不等的水皰,皰壁薄而鬆弛,皰……

天皰瘡相關醫院推薦

桃園市龜山區復興街5號
醫療中心
臺中市西屯區臺灣大道四段1650號
榮民醫院
台南市北區勝利路138號
大學附設醫院
臺北市北投區石牌路二段201號
榮民醫院
臺北市內湖區內湖路二段360號
大學附設醫院
臺北市中正區中山南路7號
大學附設醫院