腸腫瘤

腸腫瘤症狀、原因、治療與預防保健 · 腸腫瘤完整疾病指南 · 腸腫瘤專業就醫指南

腸腫瘤就診指南

掛號科室:
常見症狀:
貧血、消瘦、大便次數增多
好發人群:
中老年
是否遺傳:
無傳染性
是否傳染:
無遺傳性
發病部位:
下腹
相關檢查:
結腸鏡檢查

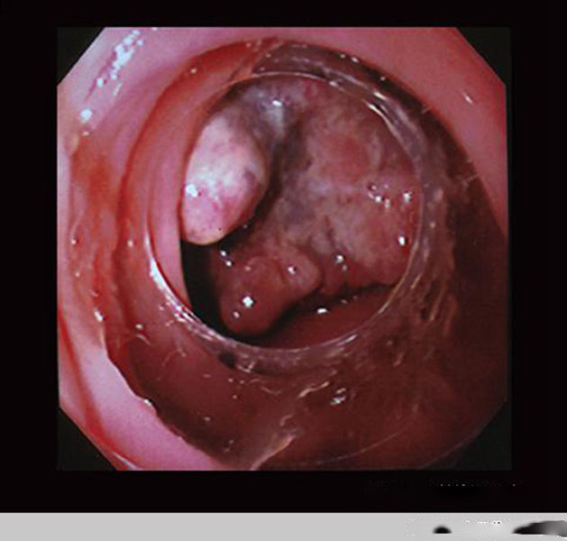
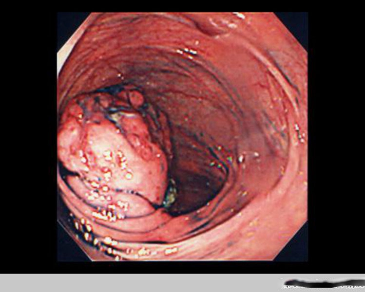
腸腫瘤圖片

腫瘤腸腫瘤細胞圖
腫瘤腸腫瘤細胞圖
腫瘤腸腫瘤真實
腫瘤腸腫瘤真實
腫瘤腸腫瘤病變真
腫瘤腸腫瘤病變真
腫瘤腸腫瘤切除術
腫瘤腸腫瘤切除術
直腸腫瘤的報告單
直腸腫瘤的報告單
直腸腫瘤惡性腸鏡
直腸腫瘤惡性腸鏡
直腸腫瘤
直腸腫瘤
直腸腫瘤早期
直腸腫瘤早期
直腸腫瘤診斷證明
直腸腫瘤診斷證明
治療腸腫瘤觀察
治療腸腫瘤觀察
腫瘤病變腸腫瘤
腫瘤病變腸腫瘤
直腸腸腫瘤手術術後
直腸腸腫瘤手術術後
直腸腸腫瘤手術
直腸腸腫瘤手術
直腸腸腫瘤術後
直腸腸腫瘤術後
直腸腸腫瘤真實
直腸腸腫瘤真實
直腸腫瘤 良性
直腸腫瘤 良性
直腸腫瘤報告單
直腸腫瘤報告單
直腸腸腫瘤過程
直腸腸腫瘤過程
直腸腸腫瘤後期
直腸腸腫瘤後期
直腸腸腫瘤切除術後
直腸腸腫瘤切除術後

腸腫瘤相關問答

A:降結腸腫瘤分為良性腫瘤和惡性腫瘤,具體如下:第一、良性腫瘤生長的特點是生長速度比較慢,邊界比較清楚,有完整的包膜,不會出現擴散和轉移。治療良性腫瘤的主要方法是手術切除,一般都可以治癒。第二、降結腸惡性腫瘤的治療方法,主要是手術切除、化療……
A:橫結腸腫瘤分為良性腫瘤和惡性腫瘤,橫結腸良性腫瘤的特點是生長速度比較緩慢,邊界比較清楚,有完整的包膜,通過手術治療一般可以治癒,也就是不太嚴重。橫結腸的惡性腫瘤也叫做橫結腸癌,這個情況比較嚴重。早期的橫結腸惡性腫瘤如果能夠早發現、早診斷、……
A:大腸腫瘤一般是指惡性腫瘤也就是說大腸癌。大腸癌的常見症狀因腫瘤生長的部位不同表現也不相同。最常見的分界是橫結腸脾曲,脾曲近端的大腸,稱作右半結腸,脾曲遠端的大腸稱作左半結腸長,此外還有直腸。右半結腸的腫瘤,常見的症狀有貧血和腹部腫塊。左半結……
A:直腸癌早期的症狀主要有:便血,粘液血便或者膿血便,也可以為單純血便,血一般為暗紅色,非鮮紅色血液,便血時好時壞,時輕時重。其次,有大便次數增多,裡急後重感,肛門下墜感,便不淨,大便習慣改變,便秘,腹瀉都可以發生。主要注意與痔瘡鑑別,痔瘡一般……
A:結腸腫瘤,很多患者都可以治好,良性結腸腫瘤基本可以治癒,惡性結腸腫瘤要看病期。目前臨床上治療結腸腫瘤方法主要有三種,分別是手術,放療和化療。不過手術對結腸癌晚期患者來說,不能全部消滅癌細胞,需要兩者或者三種方法聯合起來進行治療,所以要在醫生……
A:發生橫結腸腫瘤可有以下幾種常見的臨床症狀:第一、排便習慣和糞便形狀會發生明顯改變,病人可表現為排便次數較平時顯著增加,並可出現不明原因的腹瀉以及便秘,有時糞便中可有血液。第二、橫結腸腫瘤病人還會有腹部疼痛症狀,初期一般並不嚴重,僅為隱痛症狀……
A:結腸腫瘤手術後能吃豆腐腦,研究數據顯示高脂肪飲食、低纖維素飲食是導致結腸腫瘤高發的原因。對於結腸腫瘤術後的患者,早期為了促進腸道功能的儘快恢復,及手術切口的儘快癒合,飲食上建議進食易消化的、蛋白質等營養豐富的飲食。應適當增加蛋白質含量高的飲……

腸腫瘤相關醫院推薦

桃園市龜山區復興街5號
醫療中心
臺中市西屯區臺灣大道四段1650號
榮民醫院
台南市北區勝利路138號
大學附設醫院
臺北市北投區石牌路二段201號
榮民醫院
臺北市內湖區內湖路二段360號
大學附設醫院
臺北市中正區中山南路7號
大學附設醫院