腦部供血不足

腦部供血不足症狀、原因、治療與預防保健 · 腦部供血不足完整疾病指南 · 腦部供血不足專業就醫指南

腦部供血不足就診指南

掛號科室:
常見症狀:
突然嘴歪、流口涎
好發人群:
中老年人
是否遺傳:
無傳染性
是否傳染:
無遺傳性
發病部位:
頭部
相關檢查:
CT、核磁共振、腦血流圖

腦部供血不足圖片

腦供血不足要及早治療
腦供血不足要及早治療
腦供血不足會引起頭暈
腦供血不足會引起頭暈
腦供血不足是中老年人的隱形殺手
腦供血不足是中老年人的隱形殺手
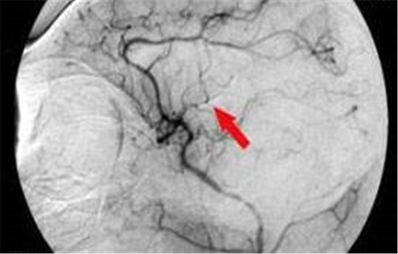
左頸內動脈狹窄導致腦供血不足
左頸內動脈狹窄導致腦供血不足
針灸治療腦供血不足
針灸治療腦供血不足
椎基底動脈供血不足導致腦供血不足
椎基底動脈供血不足導致腦供血不足
手術治療頸動脈狹窄腦供血不足
手術治療頸動脈狹窄腦供血不足
輸血治療腦供血不足
輸血治療腦供血不足
血栓導致腦供血不足
血栓導致腦供血不足
一過性腦供血不足檢查
一過性腦供血不足檢查
腦供血不足治療
腦供血不足治療
腦供血不足足底按摩
腦供血不足足底按摩
腦供血不足嘴角歪斜
腦供血不足嘴角歪斜
腦供血不足引發短暫性共濟失調
腦供血不足引發短暫性共濟失調
腦供血不足引發嘴角歪斜
腦供血不足引發嘴角歪斜
腦供血不足造影
腦供血不足造影
腦供血不足致腦萎縮
腦供血不足致腦萎縮
腦供血不足危害
腦供血不足危害
腦供血不足血管血栓
腦供血不足血管血栓
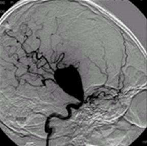
腦供血不足血管造影
腦供血不足血管造影

腦部供血不足相關問答

A:大腦缺血的治療分為以下三個方面:1、日常生活的治療包括低鹽、低脂飲食,規律的作息時間、睡眠時間,適當的運動方式。2、針對基礎疾病的治療,包括針對能引起大腦缺血的高血壓、糖尿病、高脂血症、高同型半胱氨酸血癥、吸菸、飲酒、肥胖等問題,分別採……
A:芪參益氣滴丸不能直接治療腦供血不足,治療作用是有限的。芪參益氣滴丸是一種中成藥,裡面含有黃芪、丹參、三七、降香油等成分,具有益氣通脈、活血止痛的功效,用於氣虛血瘀型胸痛,比如胸悶、胸痛、心悸、自汗、體胖、舌有齒痕等等。一般用於冠心病心絞痛,……
A:大腦供血不足可以吃抗血小板類藥物、他汀類藥物、改善循環類藥物和對症緩解頭暈、頭痛的藥物,抗血小板藥物包括阿司匹林、氯吡格雷、替格瑞洛、替羅非班等等。他汀類藥物包括阿託伐他汀、瑞舒伐他丁、辛伐他汀、普伐他汀等等。改善循環類藥物包括銀杏葉製劑,……
A:如果出現腦供血不足引起的頭疼,需要用以下的幾種辦法快速緩解:1、先要囑咐患者進行平躺,因為平躺之後,就可以有效的增加腦血流灌注,就可以一定程度上緩解由腦供血不足,而引起的頭疼。2、要密切的監測血壓,如果條件允許,還可以口服500mL左右……
A:腦血管出現了血栓形成或者缺血性的改變,最主要的原因是動脈硬化,動脈硬化最主要的原因是高齡,活到足夠大的年紀就會出現動脈硬化。一般來說,人的動脈硬化起自於人的30-40歲,隨著年紀的增加,日積月累,等到出現症狀的時候可能得50-60歲、70-……
A:老年人腦供血不足最常見的原因是動脈粥樣硬化或腦血管的狹窄,常見於高血壓、糖尿病、高脂血症、高同型半胱氨酸血癥、吸菸、飲酒等的老年人。年輕人的供血不足主要與不良的生活習慣,經常熬夜,吃高糖、高脂以及高鹽的食物。還包括心臟疾病,比如卵圓孔未閉、……
A:腦供血不足患者在生活當中主要是針對危險因素進行防控,比如低鹽飲食,少吃鹽可以防止高血壓,一般每天不要超過6g。低脂飲食,少吃油性食物,比如肥肉、動物的內臟都含膽固醇比較高。飲食以清淡為主,加上適當的體育鍛煉,戒菸、限酒、減重,是預防腦供血不……
A:老年人如果出現了腦供血不足,應該規範服用抗血小板的藥物,如阿司匹林,以及穩定斑塊、改善斑塊結構的藥物,如他汀類藥物阿託伐他汀、瑞舒伐他汀等等行長期治療,也可以服用一些中藥,例如養血清腦顆粒,或者是松齡血脈康膠囊等等藥物來治療。當然,對於嚴重……

腦部供血不足相關醫院推薦

桃園市龜山區復興街5號
醫療中心
臺中市西屯區臺灣大道四段1650號
榮民醫院
台南市北區勝利路138號
大學附設醫院
臺北市北投區石牌路二段201號
榮民醫院
臺北市內湖區內湖路二段360號
大學附設醫院
臺北市中正區中山南路7號
大學附設醫院