台灣醫典百科
首頁
疾病百科
藥品查詢
醫院診所
藥局地圖
名醫推薦
健康專欄
問答
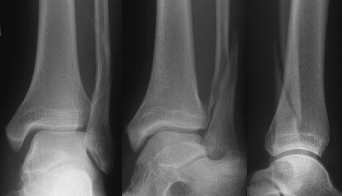
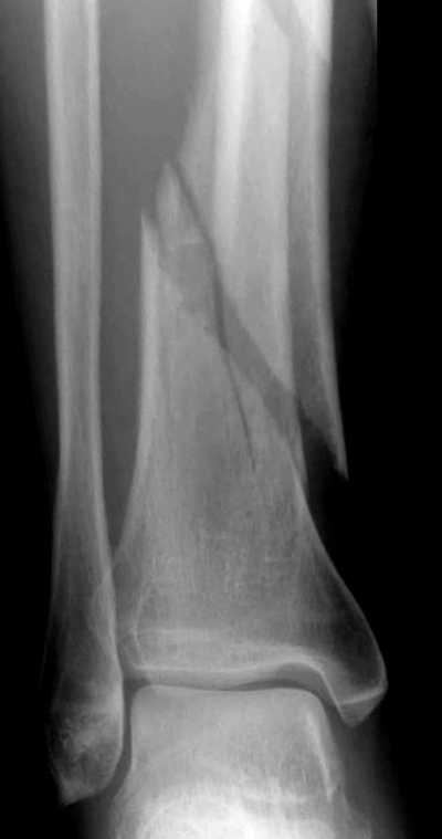
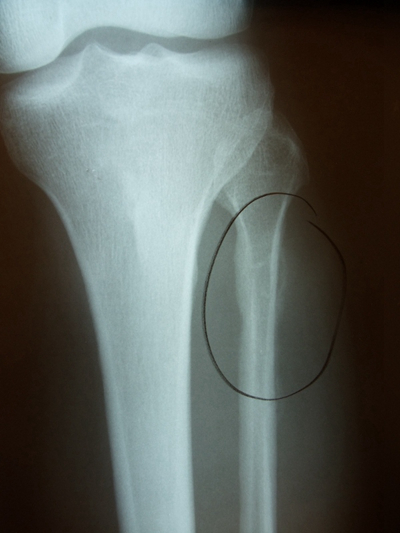
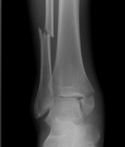
骨折
骨折症狀、原因、治療與預防保健 · 骨折完整疾病指南 · 骨折專業就醫指南
骨折就診指南
掛號科室:
骨科
常見症狀:
畸形、異常活動
好發人群:
兒童、老人
是否遺傳:
無傳染性
是否傳染:
無遺傳性
發病部位:
骨骼
相關檢查:
X線、CT、MRI檢查
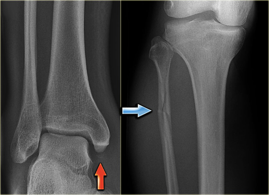
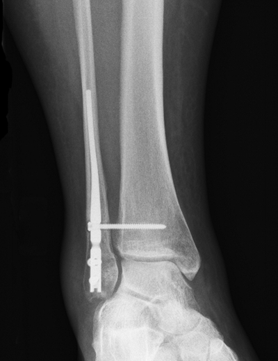
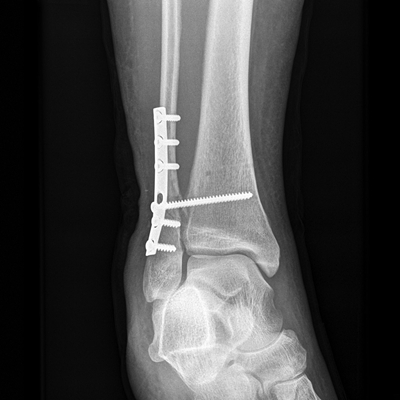
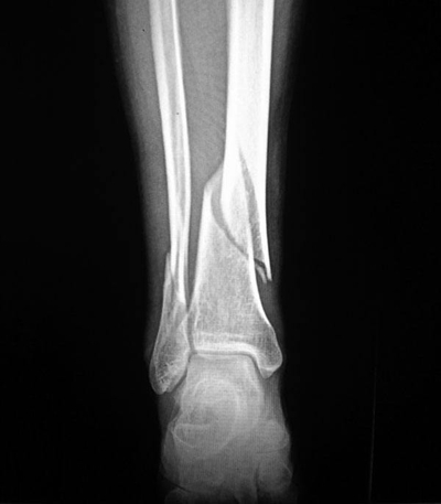
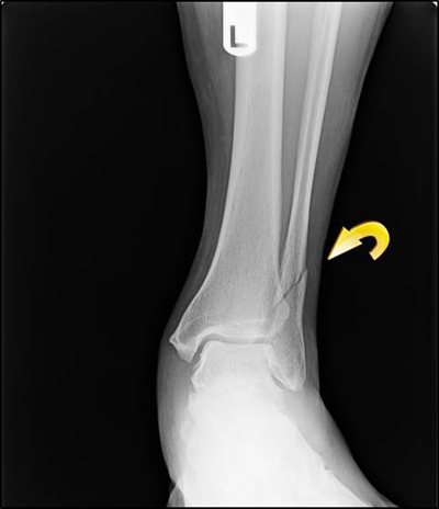
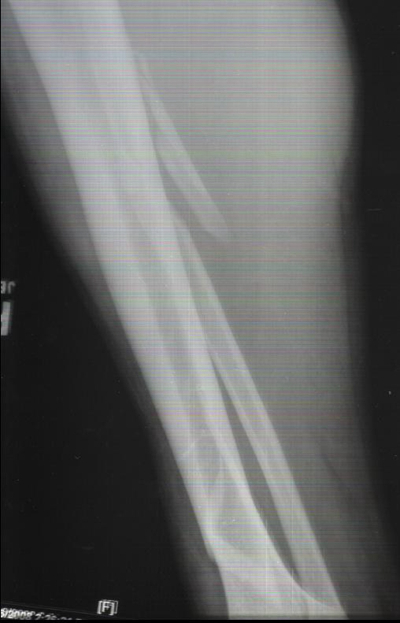
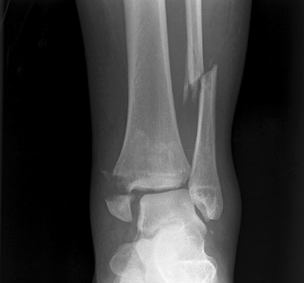
骨折圖片
骨裂
骨裂
骨裂
骨裂
骨裂
骨裂
骨裂
骨裂
骨裂
骨裂
骨裂
骨裂
骨裂
骨裂
骨裂
骨裂
骨裂
骨裂
骨裂
骨裂
骨折相關文章
拍骨頭的片子叫什麼
2023-02-09
跟骨骨折手術後5個月了,走路腳踝疼怎麼回事
2023-09-09
促進骨折癒合的中藥
2023-02-21
小腿骨折選擇保守治療後,開啟定期複查之旅
2023-02-03