鼻息肉

鼻息肉症狀、原因、治療與預防保健 · 鼻息肉完整疾病指南 · 鼻息肉專業就醫指南

鼻息肉就診指南

掛號科室:
常見症狀:
鼻塞、流涕
好發人群:
所有人羣
是否遺傳:
無傳染性
是否傳染:
無遺傳性
發病部位:
相關檢查:
鼻鏡檢查

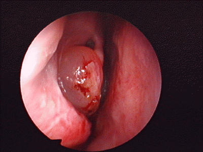
鼻息肉圖片

鼻息肉
鼻息肉
鼻息肉
鼻息肉
鼻息肉
鼻息肉
鼻息肉
鼻息肉
鼻息肉
鼻息肉
鼻息肉
鼻息肉
鼻息肉
鼻息肉
鼻息肉
鼻息肉
鼻息肉
鼻息肉
鼻息肉
鼻息肉
鼻息肉
鼻息肉
鼻息肉
鼻息肉
鼻息肉
鼻息肉
鼻息肉
鼻息肉
鼻息肉
鼻息肉
鼻息肉
鼻息肉
鼻息肉
鼻息肉
鼻息肉
鼻息肉
鼻息肉
鼻息肉
鼻息肉
鼻息肉

鼻息肉相關問答

A:鼻息肉一般是建議手術治療的,如果是特別早期的很輕微的病變,比如黏膜的息肉樣變,可以考慮保守治療,建議使用鼻噴劑,如丙酸氟替卡松鼻噴霧劑或者布地奈德鼻噴霧劑噴鼻,加用口服的激素,如潑尼松片等。如果息肉已經形成,導致中鼻道或者是下鼻道阻塞,建議……
A:鼻息肉是鼻竇炎的一種,鼻黏膜長期的劇烈水腫、增厚,會形成息肉樣的改變,最終成為息肉。鼻息肉的主要症狀就是鼻子堵塞、不通氣、流鼻涕,特別是膿性鼻涕,嗅覺下降、頭疼等一系列的症狀,檢查時可以看到鼻腔有半透明狀的蒼白樣腫物。如果鼻息肉不能得到及時……
A:鼻息肉手術以後,如果息肉反覆復發,反覆做手術,手術刺激增多,手術創傷可以刺激鼻息肉發生惡變,有發生鼻癌的可能。所以如果一旦形成鼻息肉,在進行手術時一定要細緻,徹底把息肉清理乾淨,並且在術後要定期的隨訪,避免息肉再次復發。如果息肉不復發,惡性……
A:有的患者鼻子不舒服而自己看鼻孔,可能會誤把正常的鼻甲或者腫大的鼻甲當成鼻息肉。鼻息肉的形態可以見於一側鼻腔或者兩側鼻腔,灰白色、半透明,像荔枝肉一樣光滑的增生物。鼻甲顏色比較深,質地也比較硬。鼻息肉的症狀往往會引起一側或者兩側的鼻子堵,可……
A:如果已經確診是有鼻息肉,一般的治療是鼻內窺鏡下做手術的切除,這樣才是比較徹底的治療。同時在手術的時候,還要在術前和術後鼻噴糖皮質激素的鼻噴劑,用生理海水輔助進行鼻腔的沖洗,還可以口服黏液促排劑,甚至可以口服激素類的藥物,這樣才能夠防止術後的……
A:鼻息肉本身不會變成鼻咽癌,所以鼻息肉手術以後。如果兩年之後發現鼻腔腫物,不是鼻息肉復發,像是惡性腫瘤,可能是新生的鼻息肉。所以鼻息肉的手術,本身手術以後不會自然形成癌,或者多長時間變成癌。鼻息肉手術以後要定期觀察,主要是預防鼻息肉復發,還……
A:鼻息肉的表現最常見的就是鼻堵,因為鼻息肉如果長的比較大,病人會有鼻子堵的感覺。還有鼻息肉的病人多數會伴有過敏性鼻炎,所以病人會有流鼻涕、打噴嚏、鼻子癢等情況。有了這些情況之後,到醫院就診,通過鼻內鏡檢查,如果鼻息肉比較小,可能會看到鼻腔的中……
A:息肉是黏膜表面長出來的贅生物,統稱為息肉。常見的有胃息肉、鼻息肉、聲帶息肉、腸息肉,息肉是一種良性的病變,如果比較小的息肉可以暫時不處理,但是也有部分息肉會引起癌變,需要根據息肉不同的部位進行不同的對症治療。對於鼻腔息肉,如果息肉比較小可以……

鼻息肉相關醫院推薦

桃園市龜山區復興街5號
醫療中心
臺中市西屯區臺灣大道四段1650號
榮民醫院
台南市北區勝利路138號
大學附設醫院
臺北市北投區石牌路二段201號
榮民醫院
臺北市內湖區內湖路二段360號
大學附設醫院
臺北市中正區中山南路7號
大學附設醫院