台灣醫典百科
首頁
疾病百科
藥品查詢
醫院診所
藥局地圖
名醫推薦
健康專欄
問答
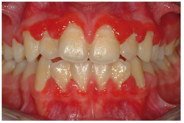
牙齦炎
牙齦炎症狀、原因、治療與預防保健 · 牙齦炎完整疾病指南 · 牙齦炎專業就醫指南
牙齦炎就診指南
掛號科室:
口腔科
常見症狀:
牙齦出血、紅腫、脹痛
好發人群:
所有人羣
是否遺傳:
無傳染性
是否傳染:
無遺傳性
發病部位:
口腔
相關檢查:
X線、口腔科檢查
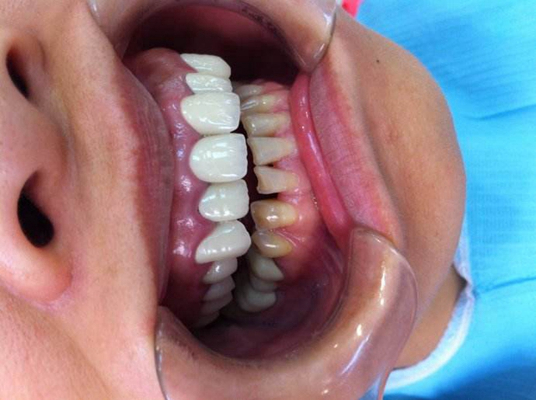
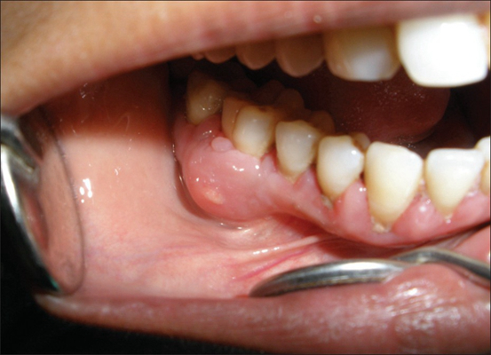
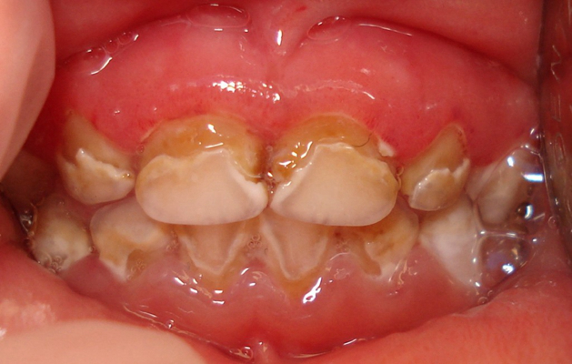
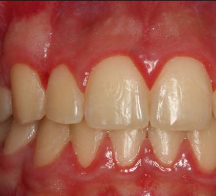
牙齦炎圖片
牙齦炎和牙周炎
牙齦炎和牙周炎
牙齦炎和牙周炎
牙齦炎和牙周炎
牙齦炎和牙周炎
牙齦炎和牙周炎
牙齦炎和牙周炎
牙齦炎和牙周炎
牙齦炎和牙周炎
牙齦炎和牙周炎
牙齦炎和牙周炎
牙齦炎和牙周炎
牙齦炎和牙周炎
牙齦炎和牙周炎
牙齦炎和牙周炎
牙齦炎和牙周炎
牙齦炎和牙周炎
牙齦炎和牙周炎
牙齦炎相關文章
劉阿姨罹患牙齦炎,居然與糖尿病有關!
2023-10-09
9歲小女孩牙齦炎致牙齦出血,與口腔衛生不佳相關
2023-07-28
6歲孩子患皰疹性齦口炎——牙齦腫痛並非全是“上火”
2023-12-17
16歲男生牙齦腫痛,應警惕錯頜、牙齦炎
2023-11-27
16歲男孩治療錯頜前,為何需要先潔牙?
2023-08-31
32歲李女士牙齦出血、紅腫,元兇竟是牙齦炎!
2023-05-16
牙齦炎反覆發作怎麼辦
2023-06-09
牙齦炎怎麼用藥
2023-04-28
查看更多文章
牙齦炎相關問答
Q:牙齦發炎吃甲硝唑幾天
A:如果牙齦發炎了,口服甲硝唑應該足量、足程,按照甲硝唑的說明書進行服藥,劑量、方法都按照說明書進行。服用的時間要看炎症是否得到控制,在炎症控制以後再停藥,如果炎症沒有控制應該繼續服用甲硝唑。甲硝唑有一定的副作用,長期服用可以抑制骨髓生產血細胞……
Q:牙齦腫了怎麼治療
A:牙齦腫是口腔內常見的一種現象,首先牙齦炎可以導致牙齦腫脹,發生牙齦炎導致的腫脹以後需對牙齦炎進行治療,牙齦炎的治療方法就是洗牙。發生牙齦腫脹的可能疾病是牙齒髮生了牙周膿腫,牙周膿腫是指牙周病的中晚期局部牙周袋內寄居了膿液,導致局部牙齦腫脹,……
Q:牙齦炎症狀
A:牙齦炎一般指慢性牙齦炎,症狀如下:一、牙齦的色澤改變,正常牙齦呈粉紅色,患齦緣炎時遊離齦及齦乳頭變為深紅或暗紅色。二、牙齦的外形改變,正常齦緣菲薄,緊貼牙面,附著齦有點彩。患牙齦炎時由於組織水腫使齦緣變厚,不再緊貼牙面,齦乳頭變軟鈍、肥……
Q:牙齦腫痛吃什麼
A:如果出現明顯的牙齦紅腫、疼痛,可以進行全身抗炎治療,可以口服頭孢類的抗生素加上甲硝唑類的藥物,臨床上常用的頭孢類的藥物有頭孢唑林鈉、頭孢甲肟、頭孢克肟、頭孢呋辛等。如果頭孢類的藥物過敏,可以改用紅黴素類的藥物,潔黴素、克林黴素等。臨床上常用……
Q:哺乳期牙齦腫痛怎麼快速消腫止痛
A:哺乳期出現牙齦腫痛,可以在家先進行齦溝的沖洗,用注射器抽上雙氧水,將注射器的針頭放置在牙齦和附著的牙面之間的牙齦溝內沖洗,可以把牙齦溝內的食物殘渣、軟垢、牙石碎片、牙菌斑、遊離的細菌、膿汁衝洗出來,然後再用鹽水沖洗,雙氧水、鹽水反覆沖洗,最……
Q:牙齦發炎腫痛怎麼快速消腫
A:牙齦發炎腫痛需要全身和局部治療配合,進行全身抗炎治療,一般建議口服頭孢類的抗生素和甲硝唑類的藥物。是否需要全身治療關鍵看牙齦發炎的程度,如果是急性的比較重度的牙齦炎,需要進行全身抗炎治療。如果是比較輕的慢性的牙齦炎,不需要進行全身抗炎治療。……
Q:牙齦癢痛是怎麼回事
A:牙齦癢痛是牙齦炎的臨床表現,是口腔科常見的疾病之一,患者常因牙齦出血才前來就診,牙齦病是侷限於牙齦組織的病變,其中最為常見的是慢性齦緣炎又稱邊緣性齦炎,單純性牙齦炎屬於僅與牙菌斑有關的牙齦炎,是菌斑性牙齦炎中最常見的疾病,牙齦的炎症主要位於……
Q:牙齦炎牙周炎用什麼藥
A:牙齦炎患者可口服阿莫西林、氨苄西林、頭孢曲松、頭孢呋辛等青黴素類藥物,或甲硝唑、替硝唑、奧硝唑等甲硝唑類藥物。牙周炎患者可以服用頭孢克洛膠囊和布洛芬片,VC片,牙周康片等。但有時候藥物不能從根本上解決問題,可能通過刮治等進行治療。因此患者需……
查看更多問答
牙齦炎相關醫院推薦
長庚醫療財團法人林口長庚紀念醫院
桃園市龜山區復興街5號
醫療中心
臺中榮民總醫院
臺中市西屯區臺灣大道四段1650號
榮民醫院
國立成功大學醫學院附設醫院
台南市北區勝利路138號
大學附設醫院
長庚醫療財團法人台北長庚紀念醫院
臺北市松山區敦化北路199號
醫院
臺北榮民總醫院
臺北市北投區石牌路二段201號
榮民醫院
中國醫藥大學附設醫院臺北分院
臺北市內湖區內湖路二段360號
大學附設醫院
查看更多醫院
牙齦炎相關醫師推薦
李正喆
國立臺灣大學醫學院附設醫院
郭生興
國立臺灣大學醫學院附設醫院
查看更多醫師
相關藥品
速麻注射劑(吉遍達)
靜脈麻醉、全身麻醉之誘導
狄克羅西林單水化鈉鹽(口服用)
葡萄球菌、鏈球菌、肺炎雙球菌、腦膜炎球菌及其他具有感受性細菌引起之感染症
麻得康膠囊
腰背痛、肩關節周圍炎、關節炎、僂麻質(風濕痛)神經痛、筋肉痛、筋強直、伴有筋異常緊張疾病、筋痙攣、硬筋症
滴露消毒藥水
殺菌、消毒。
嗽必鎮粉
鎮咳、袪痰(感冒、急慢性支氣管炎引起之喀痰、咳嗽)
×