牙顎畸形

牙顎畸形症狀、原因、治療與預防保健 · 牙顎畸形完整疾病指南 · 牙顎畸形專業就醫指南

牙顎畸形就診指南

掛號科室:
常見症狀:
個別牙錯位
好發人群:
青少年
是否遺傳:
無傳染性
是否傳染:
有遺傳性
發病部位:
口腔
相關檢查:
口頜系統功能檢查

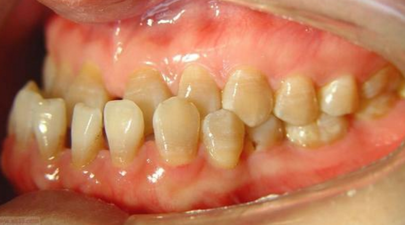
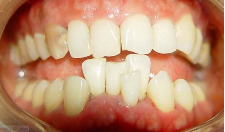
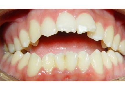
牙顎畸形圖片

牙槽骨突出
牙槽骨突出
牙槽骨突出
牙槽骨突出
牙槽骨突出
牙槽骨突出
牙槽骨突出
牙槽骨突出
牙槽骨突出
牙槽骨突出
牙槽骨突出
牙槽骨突出
牙槽骨突出
牙槽骨突出
牙槽骨突出
牙槽骨突出
牙槽骨突出
牙槽骨突出
牙槽骨突出
牙槽骨突出
牙槽骨突出
牙槽骨突出
牙槽骨突出
牙槽骨突出
牙槽骨突出
牙槽骨突出
牙槽骨突出
牙槽骨突出
牙槽骨突出
牙槽骨突出
牙槽骨突出
牙槽骨突出
牙槽骨突出
牙槽骨突出
牙槽骨突出
牙槽骨突出
牙槽骨突出
牙槽骨突出
牙槽骨突出
牙槽骨突出

牙顎畸形相關問答

A:牙頜畸形是在兒童生長發育過程當中,由於遺傳、疾病、內分泌障礙以及營養不良、功能紊亂、口腔不良習慣、替牙障礙,還有其他因素的影響,導致牙頜面畸形,如牙齒排列不齊、上下牙弓咬合關係異常。頜骨大小形態位置異常、面部畸形等,稱為錯頜畸形,簡稱錯頜。……
A:咬合關節疼一般是我們說的聶下頜關節疾病,如果顳下頜關節沒有器質性的實質性病變的話,我們是可以通過及時有效的治療使關節疼痛症狀減輕或者治癒,一般來說,聶下頜關節疼大部分是由於咬合接觸不良,比如說有早接觸,這種情況多見於牙齒充填治療之後,比如說……
A:俗稱的齙牙是上頜牙齒及上頜骨凸出,會影響咀嚼和發音,還會造成面部不協調不美觀,不同類型的齙牙矯正也不盡相同。對於生長發育期的兒童齙牙,骨骼發育具有很強的可塑性,可通過佩戴活動性矯治器對頜骨進行矯形治療。對於成年人,輕微的齙牙多因單純牙齒前突……
A:牙頜畸形往往伴隨著牙列擁擠或者牙間隙過大,容易導致食物殘渣滯留和牙菌斑生成、堆積,與普通人群相比,牙頜畸形患者更容易患上以牙菌斑為主要致病因素的疾病,如牙齦炎、牙周炎或齲齒,所以飲食上更加需要謹慎對待。(1)患者應避免吃甜食或喝碳酸飲料,……
A:齙牙是一種容貌特徵,表現為門牙前突,導致齙牙的原因很多,通常以遺傳因素為主,另外在孩子的牙齒髮育過程中,有可能是因為發育畸形所造成齙牙。出現齙牙的時候,可以通過矯正的方式改善,這種矯正方式,越早會越好,通常有傳統的下顎畸形矯正,這種矯正方式……
A:不自覺流口水很常見,比如望梅止渴,當人看到、想到或者聞到美食時,都會不自覺的流口水。人睡眠時都會有少量口水分泌,以溼潤口鼻腔黏膜,防止口鼻腔過分乾燥引起不適。而對於睡覺口水流出,甚至浸溼枕頭的現象,則會有很多原因。如患者齙牙、睡眠時嘴巴不能……
A:牙頜畸形分因先天性遺傳因素造成和後天環境因素造成兩種,表現為頷骨、顱面錯位排列不齊形成畸形。建議可先去醫院口腔科拍取牙片,根據牙頜畸形情況制定治療方案,一般,常規的矯正方法有:傳統鋼絲矯正、陶瓷自鎖矯正、舌側隱形矯正和全透明隱形較正等,未成……
A:牙齒咬合不齊,主要有以下幾種方法治療:1、可以利用鑽針打磨牙齒的咬合面,恢復正常的咬合關係,這種只適用於輕度的咬合不良患者。2、重度的咬合不良患者,甚至牙頜畸形的患者,需要用正畸的手段來恢復牙齒的良好的咬合關係。正畸治療是目前治療錯頜畸形的……

牙顎畸形相關醫院推薦

桃園市龜山區復興街5號
醫療中心
臺中市西屯區臺灣大道四段1650號
榮民醫院
台南市北區勝利路138號
大學附設醫院
臺北市北投區石牌路二段201號
榮民醫院
臺北市內湖區內湖路二段360號
大學附設醫院
臺北市中正區中山南路7號
大學附設醫院