肺纖維化

肺纖維化症狀、原因、治療與預防保健 · 肺纖維化完整疾病指南 · 肺纖維化專業就醫指南

肺纖維化就診指南

掛號科室:
常見症狀:
呼吸困難
好發人群:
40~50歲男性
是否遺傳:
無傳染性
是否傳染:
無遺傳性
發病部位:
肺及肺系
相關檢查:
X線檢查、肺組織活檢

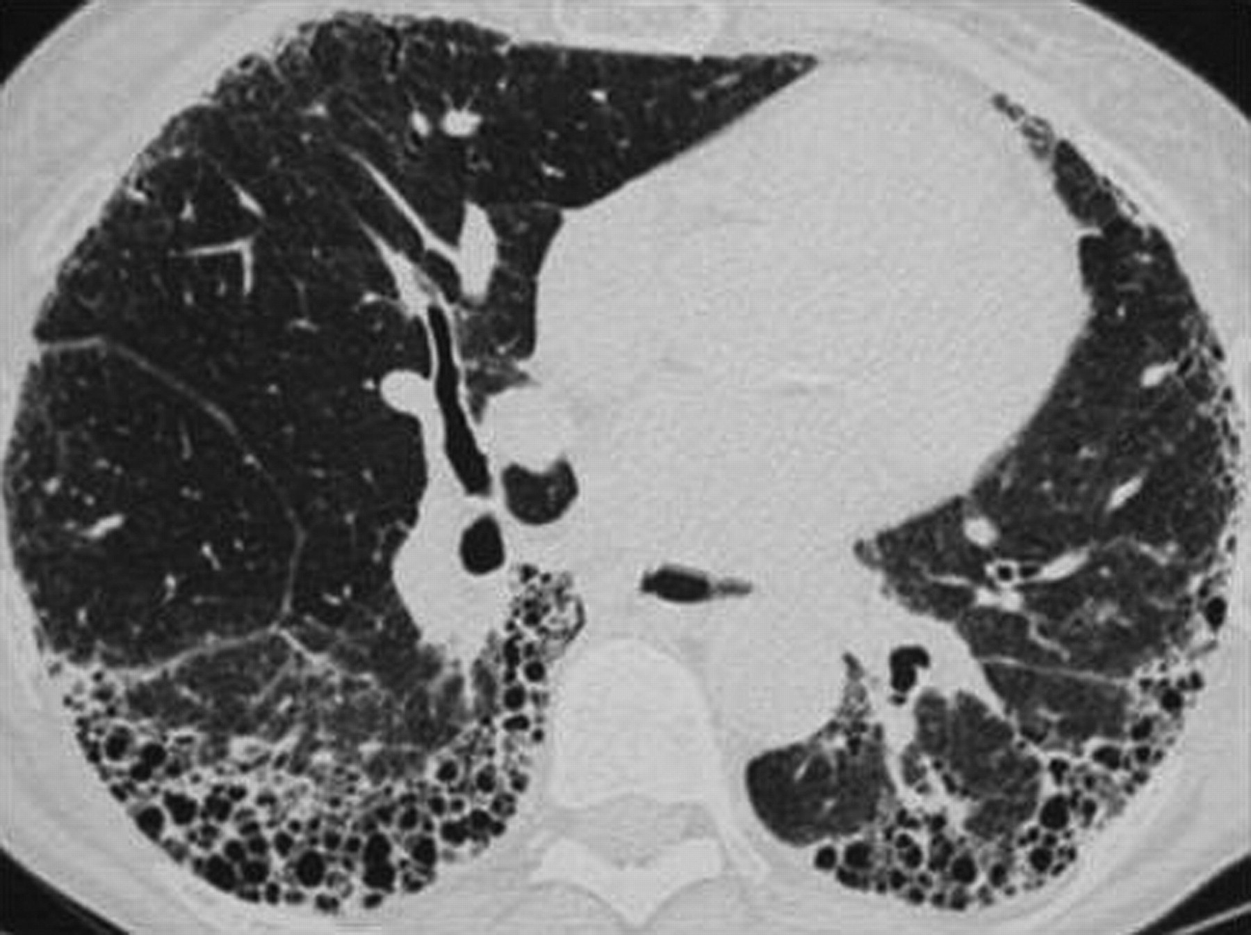
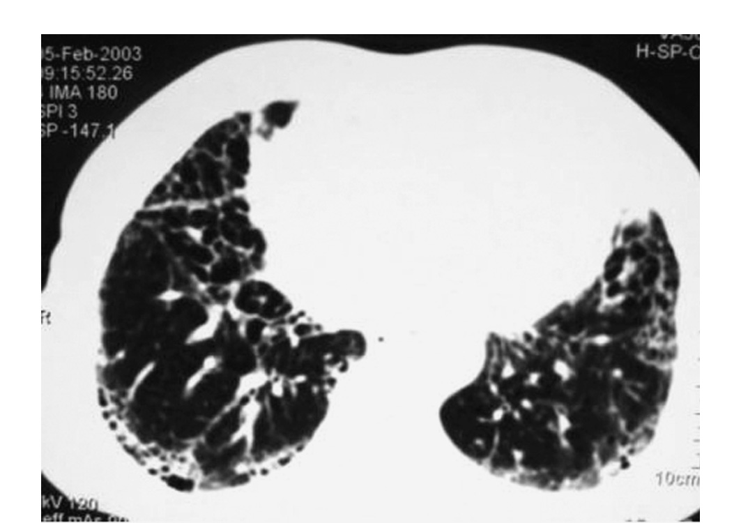
肺纖維化圖片

_左下肺肺纖維化影像
_左下肺肺纖維化影像
_左下肺肺纖維化病灶
_左下肺肺纖維化病灶
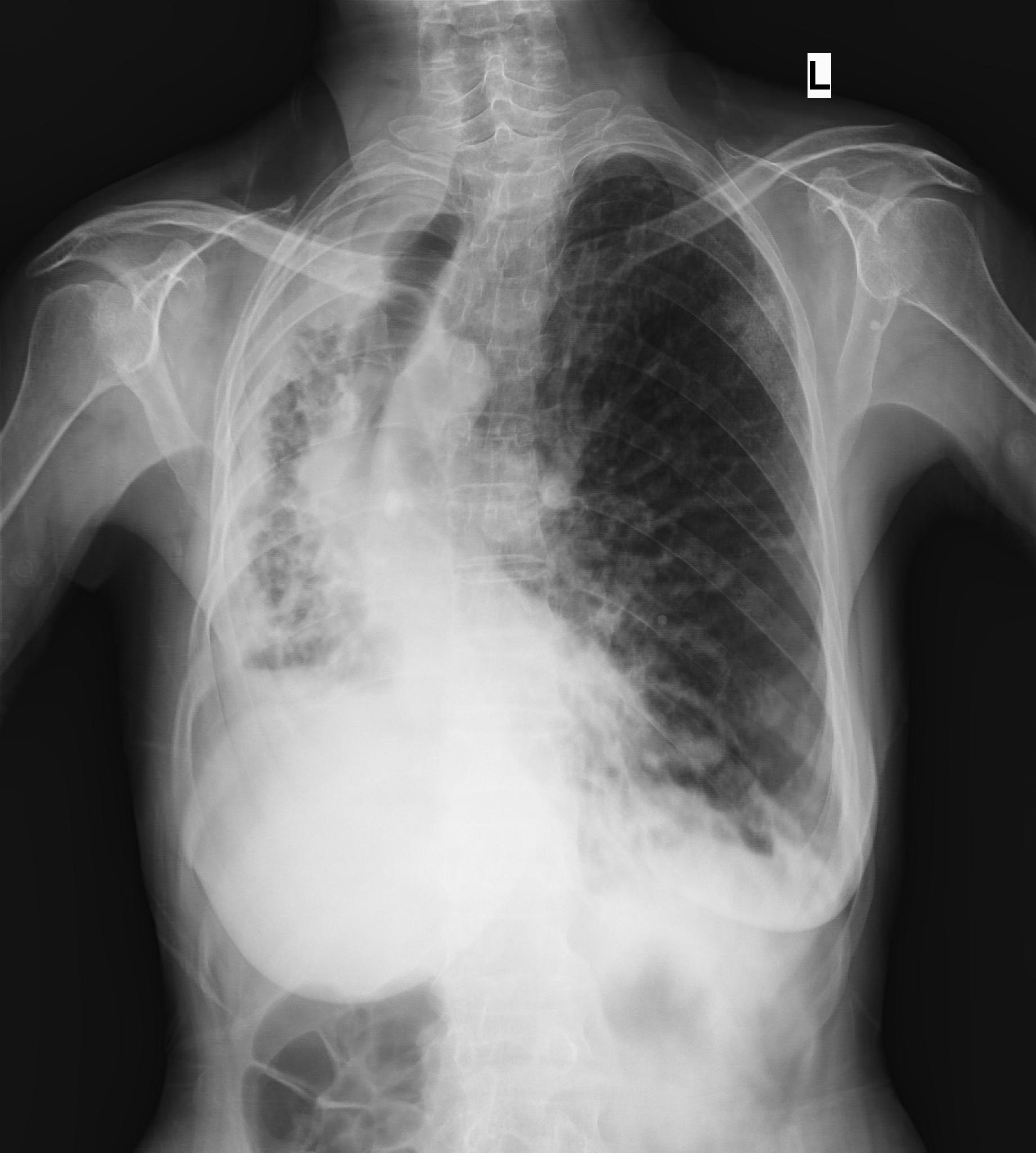
_右肺纖維化真實案例胸片
_右肺纖維化真實案例胸片
_原發性肺纖維化晚期
_原發性肺纖維化晚期
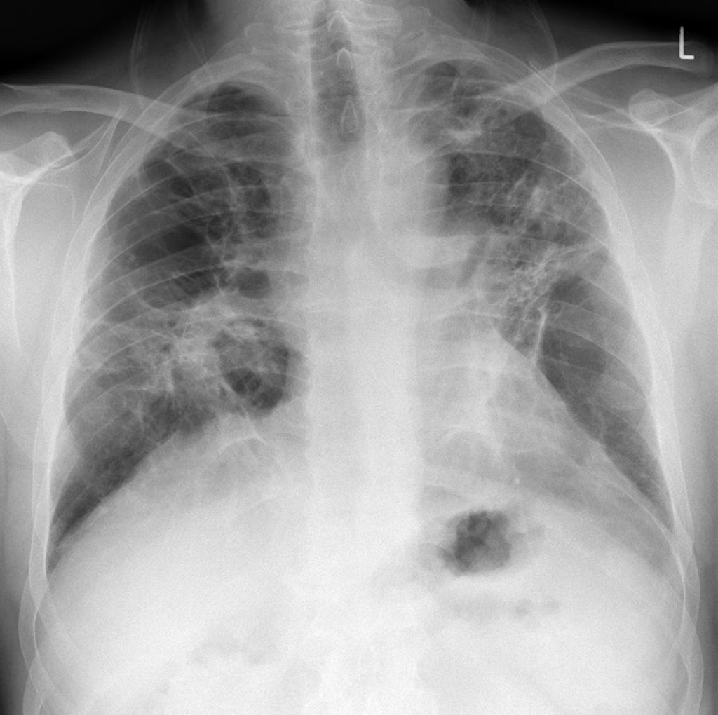
_正常肺部與肺纖維化X線對比
_正常肺部與肺纖維化X線對比
_中期肺纖維化X光
_中期肺纖維化X光
_重度肺纖維化的晚期
_重度肺纖維化的晚期
_重度肺纖維化晚期症狀
_重度肺纖維化晚期症狀
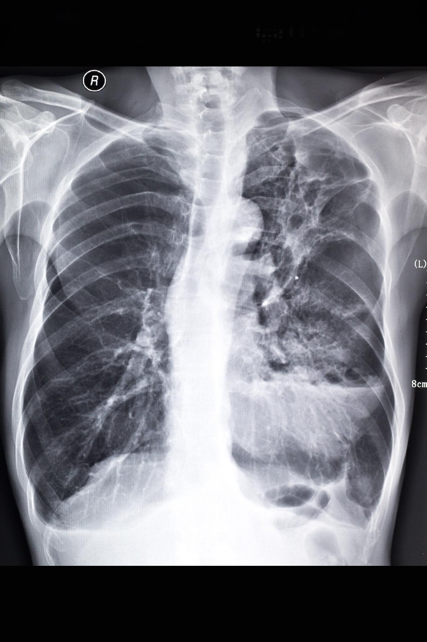
_左上肺纖維化
_左上肺纖維化
_右肺纖維化CT檢查
_右肺纖維化CT檢查
_右肺纖維化病灶
_右肺纖維化病灶
_小兒肺纖維化治療
_小兒肺纖維化治療
_硬皮病肺纖維化
_硬皮病肺纖維化
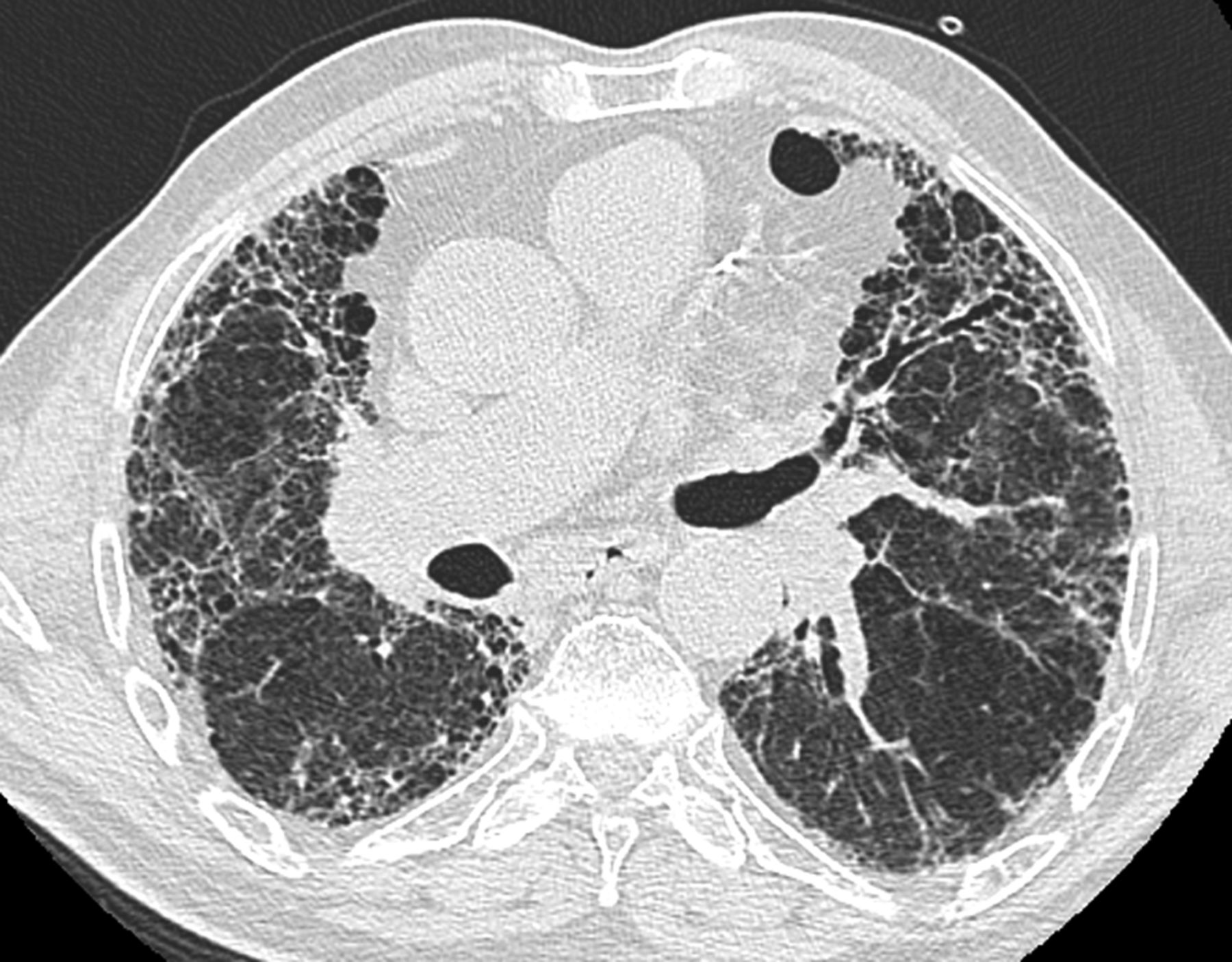
_特發性肺纖維化的高清CT圖像
_特發性肺纖維化的高清CT圖像
_特發性肺纖維化症狀
_特發性肺纖維化症狀
_小兒肺纖維化表現
_小兒肺纖維化表現
_雙肺肺纖維化的
_雙肺肺纖維化的
_雙肺肺纖維化肺灶
_雙肺肺纖維化肺灶
_特發性肺間質纖維化
_特發性肺間質纖維化
_特發性肺纖維化ct表現圖
_特發性肺纖維化ct表現圖

肺纖維化相關問答

A:肺間質纖維化的死亡率與肺間質纖維化的病理類型、病因有關係,呼吸科特發性間質性肺炎包括八種病理類型,其中特發性肺間質纖維化預後最差,死亡率最高,五年死亡率能達到50%-80%。急性間質性肺炎死亡率也很高,五年死亡率>50%,大都在發病1-2個……
A:導致肺間質纖維化的病因還是比較多,既可以是感染的因素,比如病毒或者非典型的病原體,可以導致的肺間質的疾病。也可以是非感染性的原因,比如過敏、使用的藥,還有間接組織病等。此外,肺部的腫瘤導致癌性淋巴管炎等等,都可以導致肺間質的纖維化,但有些纖……
A:吡非尼酮是一種細胞因子抑制劑,它能夠通過調節和抑制細胞因子達到抗炎和抗氧化的作用。可以用於治療輕、中度的特發性肺纖維化,也是一種治療肺纖維化的新藥。如果是特發性肺纖維化,輕、中度的病人可以試用吡非尼酮,它是低劑量、中劑量和高劑量進行依次遞增……
A:肺纖維化是病理學名稱,是各種原因導致的肺間質大量成纖維細胞增生引起肺部損傷的終末期改變,在臨床上常見於以下幾種病因:1、吸入各種有害物質導致的肺間質纖維化,如粉塵、石棉等。2、重症病毒性肺炎,部分重症病毒性肺炎的患者,也可以出現肺間質纖……
A:肺纖維化即肺間質的纖維化,如果是早期輕度的纖維化,病情不進展則能控制得很好,患者生存期基本不太受影響。肺間質纖維化程度比較重時,患者生存期會很短。此時,積極找到肺間質纖維化的原因,避免原因,包括繼發性的患者要找到原發病,做原發病的治療。對……
A:肺纖維化實際上是種肺間質疾病到終末期的表現,出現了間質的纖維化,導致病因有很多,像最常見的自身免疫病,如狼瘡、乾燥綜合徵,包括結節病或者血管炎,都可能引起肺間質纖維化。其他的包括長期工作環境中,吸入有機或無機的粉塵,甚至硅肺也會出現肺纖維……
A:特發性肺纖維化是一種慢性的進行性的纖維化性間質性肺炎,組織學和胸部螺旋CT特徵性表現為普通型間質性肺炎,病因不清,好發於老年人。特發性肺間質纖維化包括特發性肺纖維化的診斷標準,以及特發性肺間質纖維化急性加重期的診斷標準,特發性肺間質纖維化診……
A:肺部纖維灶要明確其原因,才能確定是否有大的問題。肺纖維灶是影像學上的術語,在影像上看病灶的密度較高,多數是條索或者網狀。如果纖維灶範圍小、單獨存在、沒有進展,這樣的纖維灶多數是既往肺部的炎症,引起的組織類似疤痕的改變,沒有大的問題,不需要治……

肺纖維化相關醫院推薦

桃園市龜山區復興街5號
醫療中心
臺中市西屯區臺灣大道四段1650號
榮民醫院
台南市北區勝利路138號
大學附設醫院
臺北市北投區石牌路二段201號
榮民醫院
臺北市內湖區內湖路二段360號
大學附設醫院
臺北市中正區中山南路7號
大學附設醫院