台灣醫典百科
首頁
疾病百科
藥品查詢
醫院診所
藥局地圖
名醫推薦
健康專欄
問答
糖尿病腎病變
糖尿病腎病變症狀、原因、治療與預防保健 · 糖尿病腎病變完整疾病指南 · 糖尿病腎病變專業就醫指南
糖尿病腎病變就診指南
掛號科室:
內分泌科
常見症狀:
腎小球硬化
好發人群:
糖尿病患者
是否遺傳:
無傳染性
是否傳染:
無遺傳性
發病部位:
下腹
相關檢查:
尿糖定性、尿沉澱
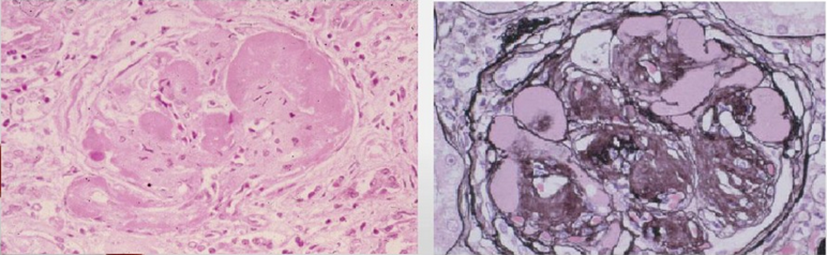
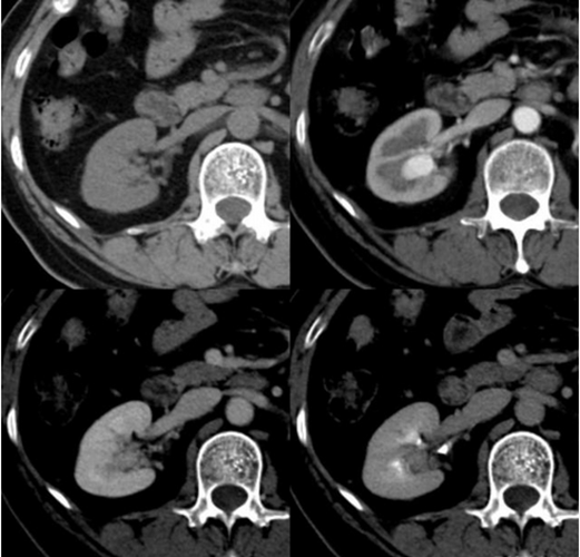
糖尿病腎病變圖片
糖尿病腎病症狀
糖尿病腎病治療
糖尿病腎病腫起程度變化
小孩患糖尿病腎病
小孩糖尿病腎病肚子腫大
糖尿病腎病腿部腫大
糖尿病腎病腿部腫起對比
糖尿病腎病腿嚴重變形
糖尿病腎病細胞
糖尿病腎病影響生活
糖尿病腎病早期基底膜
糖尿病腎病水腫的
糖尿病腎病水腫嚴重
糖尿病腎病腿部水腫變化
糖尿病腎病腿部水腫
糖尿病腎病手術透析
糖尿病腎病全身水腫
糖尿病腎病是什麼
糖尿病腎病手部的對比
糖尿病腎病手部腫起
糖尿病腎病變相關文章
尿微量白蛋白32嚴重嗎
2023-01-19
如何遠離糖尿病腎病?
2023-11-15
糖腎三期能治好嗎
2023-05-10
糖腎三期可控制多少年
2023-05-07
什麼是糖尿病腎病Ⅳ期
2023-08-02
糖尿病腎病護理措施
2023-12-09
有糖尿病腎病能吃什麼
2023-05-21
如何儘早發現糖尿病腎病
2023-09-11
查看更多文章
糖尿病腎病變相關問答
Q:糖尿病性腎病能活多久
A:糖尿病腎病的病人治療得當,病人可以活很長時間,有的甚至不會影響到病人的壽命。但是如果治療不得當,有些可能很快會發展到腎功能不全,甚至是尿毒症期,對於病人生命可能會造成一定影響,說明如下:1、不影響壽命:糖尿病腎病是比較寬泛的概念,病人可能……
Q:糖尿病腎病分期標準5期
A:根據腎臟損害的程度分為五期:Ⅰ期,糖尿病腎病,最早期腎臟腎小球高濾過是最主要的特徵,是一種代償的表現,腎臟體積增大,腎臟的血管擴張,這樣血流量增加更好的工作,但是是一種超負荷的運轉,時間長了會造成腎臟的損傷加重。通過測定肌酐,如果降低則提……
Q:尿蛋白質是什麼
A:尿蛋白質是指從腎臟漏出去的蛋白,一般來說都是白蛋白。正常腎臟的結構,因為有電離屏障以及機械屏障。蛋白不能從腎臟漏出,而發生腎炎,腎病綜合徵,iga腎病等的時候,腎臟結構受到損傷所以就會出現尿蛋白的陽性。尿蛋白對腎臟是有毒性的。,會刺激腎臟的……