包皮龜頭炎

包皮龜頭炎症狀、原因、治療與預防保健 · 包皮龜頭炎完整疾病指南 · 包皮龜頭炎專業就醫指南

包皮龜頭炎就診指南

掛號科室:
常見症狀:
水腫、紅斑
好發人群:
男性
是否遺傳:
無傳染性
是否傳染:
無遺傳性
發病部位:
生殖
相關檢查:
血常規

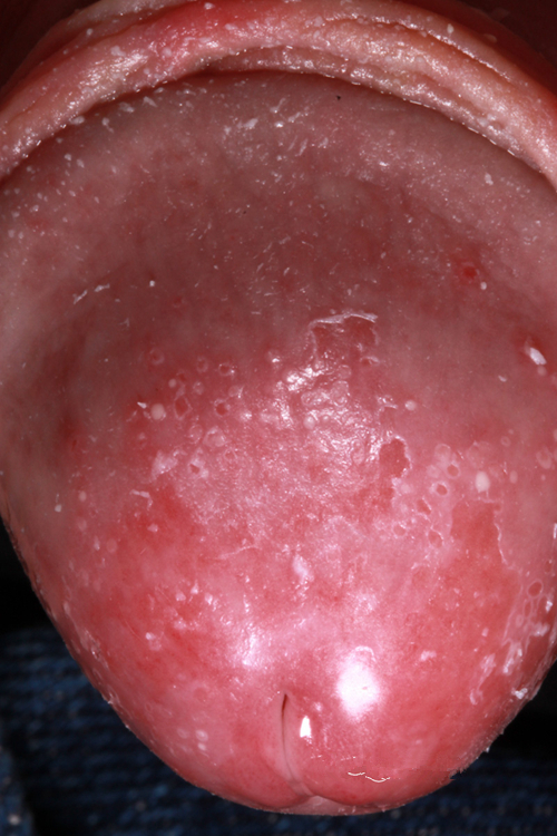
包皮龜頭炎圖片

包皮龜頭炎症狀
包皮龜頭炎症狀
包皮龜頭炎卡通
包皮龜頭炎卡通
包皮龜頭炎
包皮龜頭炎
滴蟲性包皮龜頭炎的症狀症狀
滴蟲性包皮龜頭炎的症狀症狀
環狀潰爛性包皮龜頭炎的
環狀潰爛性包皮龜頭炎的
滴蟲性包皮龜頭炎的症狀
滴蟲性包皮龜頭炎的症狀
漿細胞性包皮龜頭炎急性淺表性包皮龜頭炎
漿細胞性包皮龜頭炎急性淺表性包皮龜頭炎
念珠菌包皮龜頭炎症狀
念珠菌包皮龜頭炎症狀
念珠菌包皮龜頭炎的症狀
念珠菌包皮龜頭炎的症狀
念珠菌性包皮龜頭炎
念珠菌性包皮龜頭炎
急性淺表性包皮龜頭炎
急性淺表性包皮龜頭炎
包皮龜頭炎的
包皮龜頭炎的
包皮龜頭炎種類
包皮龜頭炎種類
包皮龜頭炎系列
包皮龜頭炎系列
包皮龜頭炎潰瘍面
包皮龜頭炎潰瘍面

包皮龜頭炎相關問答

A:包皮龜頭炎是指男性患者出現包皮的紅腫、疼痛、發癢,甚至在包皮裡面或者龜頭的表面出現紅腫、分泌物等等。造成包包皮龜頭炎的原因是比較多的,具體如下:第一、包皮過長或者包莖,這是造成包皮龜頭炎最常見的原因。出現這種情況以後應該做包皮環切手術,包……
A:初次發作的包皮龜頭炎可以用藥物來治療,如果是反覆發作的包皮龜頭炎就應該進行包皮環切手術,包皮龜頭炎往往是由於包皮過長,長期的包蓋龜頭,產生的包皮垢刺激包皮龜頭,產生的慢性炎症。常見的表現為包皮龜頭髮紅,包皮垢增多,發癢,嚴重的可以出現尿道炎……
A:包皮龜頭炎指的是龜頭和包皮出現了炎症,這個炎症的出現原因可能是多方面的,它的致病菌的類型可能也會不一樣,常見的致病菌類型包括細菌和真菌,它們能引起細菌性的包皮龜頭炎、真菌性的包皮龜頭炎。出現包皮龜頭炎這種情況往往見於包莖和包皮過長,因為包莖……
A:引起包皮龜頭炎的原因有很多種,細菌感染,真菌感染,病毒感染,黴菌感染,滴蟲等原因都會導致包皮龜頭炎的出現。如果患有包皮龜頭炎需要先弄清楚病因,然後針對性的使用藥物治療,才會有明顯效果。在沒有弄清楚是哪一種類型的包皮龜頭炎之前,可以使用1:5……
A:龜頭流膿的現象是一種病人的自我感覺狀態,根據具體的情況可以分為兩種情況:第一、其實很多患者在包皮環切術後都會出現類似龜頭流膿的現象,這個情況大可不必太過驚慌失措,因為這會的所謂膿液其實是組織恢復過程中的滲出物,不是真正意義的膿液。第二、真正……
A:出現龜頭脫皮癢,倒不一定是性病,往往診斷為包皮龜頭炎。需要去醫院皮膚科面診以及配合實驗室檢查,取局部皮屑鏡檢念珠菌,需要加強局部的清潔護理,避免不潔性活動。給予抗過敏或抗真菌等對症處理。如可口服皿治林每日1片,外用派瑞松乳膏或奈替芬酮康挫乳……
A:包皮龜頭炎是由多種因素如局部的各種物理刺激,包皮過長,包皮垢,各種感染以及藥物過敏等因素所引發的包皮和龜頭部位的炎症。包皮龜頭炎患者往往會有局部的瘙癢刺痛等不適。包皮龜頭炎在不同的時期表現往往有所不同。急性患者局部會出現紅腫滲液或糜爛,甚至……
A:很多人洗澡時會發現自己龜頭冠狀溝部分有白色的絮狀汙垢,尤其是包皮比較長的人。龜頭這裡和普通皮膚不太一樣,這裡的皮膚下面有大汗腺,分泌比較旺盛,時間一長分泌的皮脂大量堆積就會形成白色的汙垢,也就是我們常說的包皮垢。有包皮垢也不要緊,平時注意清……

包皮龜頭炎相關醫院推薦

桃園市龜山區復興街5號
醫療中心
臺中市西屯區臺灣大道四段1650號
榮民醫院
台南市北區勝利路138號
大學附設醫院
臺北市北投區石牌路二段201號
榮民醫院
臺北市內湖區內湖路二段360號
大學附設醫院
臺北市中正區中山南路7號
大學附設醫院