胃癌

胃癌症狀、原因、治療與預防保健 · 胃癌完整疾病指南 · 胃癌專業就醫指南

胃癌就診指南

掛號科室:
常見症狀:
疼痛、體重減輕
好發人群:
50歲以上
是否遺傳:
無傳染性
是否傳染:
有遺傳幾率
發病部位:
上腹
相關檢查:
X線鋇餐、纖維胃鏡檢查

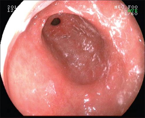
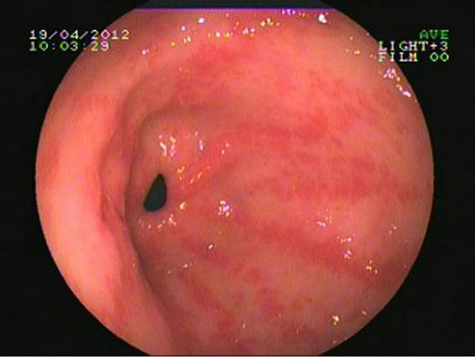
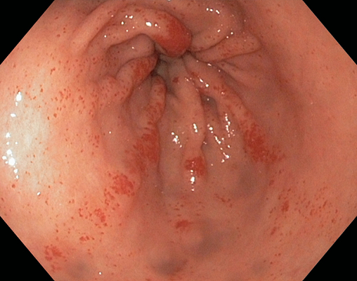
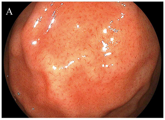
胃癌圖片

胃癌
胃癌
胃癌
胃癌
胃癌
胃癌
胃癌
胃癌
胃癌
胃癌
胃癌
胃癌
胃癌
胃癌
胃癌
胃癌
胃癌
胃癌
胃癌
胃癌
胃癌
胃癌
胃癌
胃癌
胃癌
胃癌
胃癌
胃癌
胃癌
胃癌
胃癌
胃癌
胃癌
胃癌
胃癌
胃癌
胃癌
胃癌
胃癌
胃癌

胃癌相關問答

A:胃癌切除2/3能活多久?要依靠腫瘤的侵犯深度、有無淋巴結轉移以及有無遠處的轉移而定。根據腫瘤的侵犯深度,把胃癌分為Ⅰ、Ⅱ、Ⅲ、Ⅳ四期,各期胃癌的5年生存率差別非常大。Ⅰ期患者5年生存率高達83.3%,而Ⅳ期患者5年生存率只有1.8%,並且胃……
A:胃泌素是檢測早期胃癌的一個指標,胃泌素正常值16ng/L叫胃泌素偏高。胃泌素偏高的病人不能確診就是癌症,慢性胃炎、慢性胃竇炎也可能引起胃泌素偏高。所以胃泌素偏高不是診斷癌症的一個依據,只能夠進行參考,診斷胃癌主要的依據是病理診斷,病理診斷……
A:總是往上反氣、打嗝不是胃癌的主要症狀,胃癌的主要症狀是腹痛、腹脹、便秘、腹瀉、噁心、嘔吐、大便出血、黑色柏油樣便。出現這些症狀的病人需要儘快做胃鏡檢查,通過胃鏡檢查發現腫瘤,通過病理診斷確診胃癌。早期的胃癌病人,如果能夠早發現、早診斷、早……
A:胃部隱隱作疼有可能是胃癌也有可能是胃炎,需要通過胃鏡檢查發現腫瘤,通過病理診斷確診癌症。胃癌是一個很嚴重的惡性腫瘤,胃癌病人主要的症狀是腹痛、腹脹、便秘、腹瀉、噁心、嘔吐、反酸、噯氣、消化不良、食慾下降等等。出現這樣症狀的病人需要儘快的做胃……
A:胃癌是很嚴重的惡性腫瘤,治療胃癌的主要方法有手術治療、化療、放療、靶向藥物治療、生物治療、幹細胞移植治療、免疫治療、PD-1治療等等。胃癌的病人積極抗腫瘤治療的同時飲食上要注意加強營養,多吃新鮮水果和蔬菜,多吃富含膳食纖維的食物,不要吃辛辣……
A:胃癌早期是沒有明顯的不適症狀的,甚至沒有任何不適,所以會掩蓋病情,到進展期或者晚期才有一些臨床不適,再去就診的時候已經為時已晚。胃癌隨著進展,因為是我們最重要的消化器官,會出現不想吃飯、納差、噁心、嘔吐等症狀,到晚期胃癌還會出現體重下降、消……
A:我們說舌苔發黑,其實最開始的時候不會立刻黑,往往是由於這種發灰的舌苔或者是發焦黃的舌苔發展而來出現的這種黑苔。黑苔先要排除一種情況,就是染色的情況,比如說喝了咖啡或者吃了顏色深的水果,像桑葚都有可能染苔。除外這種染苔,我們說舌苔的這種發黑……
A:胃癌是很嚴重的惡性腫瘤,容易得胃癌的病人主要是飲食習慣不好,常見的是暴飲暴食、喝酒、吸菸,經常吃辛辣、刺激性的食物,經常吃滾燙、生冷的食物。由於不規律的飲食造成慢性胃炎、胃潰瘍,不積極治療病情逐漸惡變成胃癌。胃癌的病人如果能夠早發現、早診斷……

胃癌相關醫院推薦

桃園市龜山區復興街5號
醫療中心
臺中市西屯區臺灣大道四段1650號
榮民醫院
台南市北區勝利路138號
大學附設醫院
臺北市北投區石牌路二段201號
榮民醫院
臺北市內湖區內湖路二段360號
大學附設醫院
臺北市中正區中山南路7號
大學附設醫院