腸息肉

腸息肉症狀、原因、治療與預防保健 · 腸息肉完整疾病指南 · 腸息肉專業就醫指南

腸息肉就診指南

掛號科室:
常見症狀:
便血、隱痛
好發人群:
男性
是否遺傳:
無傳染性
是否傳染:
有遺傳性
發病部位:
下腹
相關檢查:
肛鏡、直腸鏡檢查

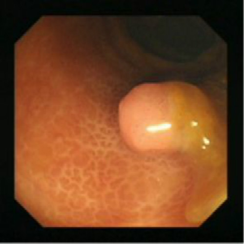
腸息肉圖片

息肉
息肉
息肉的
息肉的
鼻息肉
鼻息肉
腫瘤性息肉
腫瘤性息肉
子宮息肉
子宮息肉
腫瘤性息肉圖的片
腫瘤性息肉圖的片
直腸息肉癌
直腸息肉癌
直腸息肉的
直腸息肉的
直腸息肉
直腸息肉
增生皮膚息肉
增生皮膚息肉
增生性息肉
增生性息肉
腋下皮膚息肉的
腋下皮膚息肉的
腋下皮膚息肉
腋下皮膚息肉
炎性息肉表現
炎性息肉表現
炎性息肉的
炎性息肉的
炎性息肉
炎性息肉
炎性息肉症狀
炎性息肉症狀
牙齦息肉症狀
牙齦息肉症狀
牙齦息肉
牙齦息肉
牙齦息肉的
牙齦息肉的

腸息肉相關問答

A:腸息肉是結腸常見的一種實體腫物性病變,對於腸息肉的治療手段,只要在鏡下有腸息肉的診斷,大多都需要進行手術切除。一般來說如息肉的直徑在2cm以下,機體相對絞窄,這種息肉便可以在鏡下進行局部的息肉切除。如果息肉較多或者息肉的機體較大,不能在腸鏡……
A:腸息肉仍然屬於腸道的異常增生性的病變,並非所有的正常人都會有腸息肉,但是腸息肉確實在40歲以上人群有較多的存在率,不過一些特殊的人群,比如家族性腸息肉,或者家族中有其他患者出現過胃癌、腸癌的患者。這些人群便屬於消化道腫瘤的高風險人群,一旦這……
A:腸道息肉一般是通過腸鏡檢查時發現的疾病,息肉有出血、癌變的可能,一旦發現還是應儘早去除。根據息肉的不同位置,以及不同性狀,處理方法也不同。如果息肉相對較小,在2cm以內或者息肉有較長的蒂,在這種情況下,大多數都可以通過腸鏡將息肉切除。如果息……
A:腸息肉早期可以沒有任何的症狀,腸息肉是腸道黏膜出現贅生物,常見的類型有增生性息肉、腺瘤性息肉、錯構瘤、炎症性息肉。腸息肉的發生與飲食因素有一定關係,比如長期進食高油脂的食物,或者醃製食物,容易導致腸道出現息肉。同時與遺傳因素有一定關係,存在……
A:腸息肉手術之後,要注意觀察大便情況以及注意休息,儘量避免粗纖維的食物。腸息肉手術是指用結腸鏡將腸道的息肉進行高頻電凝,手術之後局部創面會有潰瘍。息肉切除之後,需要觀察是否有局部創面出血或者穿孔的併發症,所以術後幾天之內要觀察大便的情況。如果……
A:肛腸息肉手術的費用與患者所在的地方,所在的醫院是三甲醫院還是二甲醫院,以及息肉的位置、大小等等都有關係,費用一般在5000-10000塊錢左右。肛腸息肉是一種比較常見的臨床症狀,位置不同、大小不同的息肉,其手術難度是不同的,費用也存在顯著的……
A:十二指腸息肉一般是良性病變,不會癌變。息肉的病理類型很多,一般分為增生性息肉,炎症性息肉以及腺瘤性息肉。其中增生性息肉和炎症性息肉不會癌變,而腺瘤性息肉有一定幾率會轉變為癌症。對於十二指腸息肉來說,一般是布氏腺增生引起,給予藥物治療後一般會……
A:小兒腸息肉病因有很多種,根據不同的類型而定。大部分為後天性的,比如直腸息肉,又叫幼年型息肉,是由於腸壁炎症刺激,肉芽組織生成,從而堵塞了腺管,使腺管擴張、增生,進而形成息肉。息肉多為良性,若息肉數量少並且小,可不予處理,息肉較大並且較多可予……

腸息肉相關醫院推薦

桃園市龜山區復興街5號
醫療中心
臺中市西屯區臺灣大道四段1650號
榮民醫院
台南市北區勝利路138號
大學附設醫院
臺北市北投區石牌路二段201號
榮民醫院
臺北市內湖區內湖路二段360號
大學附設醫院
臺北市中正區中山南路7號
大學附設醫院