胃息肉

胃息肉症狀、原因、治療與預防保健 · 胃息肉完整疾病指南 · 胃息肉專業就醫指南

胃息肉就診指南

掛號科室:
常見症狀:
上腹隱痛、腹脹
好發人群:
所有人羣
是否遺傳:
無傳染性
是否傳染:
無遺傳性
發病部位:
上腹
相關檢查:
X線、胃鏡檢查

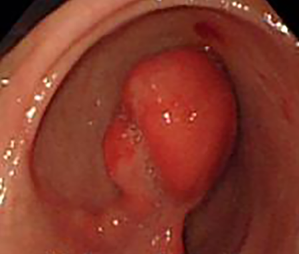
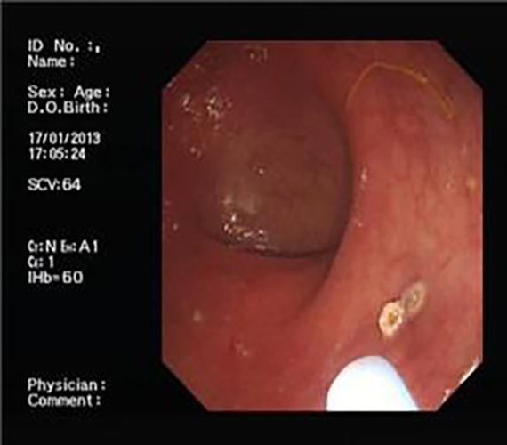
胃息肉圖片

胃息肉
胃息肉
胃息肉原因
胃息肉原因
胃息肉症狀
胃息肉症狀
增生性胃息肉症狀
增生性胃息肉症狀
增生性胃息肉
增生性胃息肉
增生性胃息肉常見症狀
增生性胃息肉常見症狀
增生型胃息肉
增生型胃息肉
早期良性胃息肉
早期良性胃息肉
炎症性胃息肉
炎症性胃息肉
炎症胃息肉什麼症狀
炎症胃息肉什麼症狀
炎症胃息肉
炎症胃息肉
炎性胃息肉
炎性胃息肉
炎性胃息肉切除
炎性胃息肉切除
炎性胃息肉
炎性胃息肉
炎性胃息肉的症狀表現
炎性胃息肉的症狀表現
腺性胃息肉
腺性胃息肉
腺瘤性胃息肉
腺瘤性胃息肉
胃息肉做手術
胃息肉做手術
胃息肉治療前後
胃息肉治療前後
胃息肉症狀
胃息肉症狀

胃息肉相關問答

A:胃鏡切除胃息肉,根據每個病人的疾病的特點以及內鏡下所採取的治療方式的不同,價錢差別很大。總體而言,可以是1000-10000塊錢之間不等。每個人的息肉大小、多少、病變的性質是不同的,所以內鏡下采取的方式也是不同。對於較大的息肉甚至懷疑有癌……
A:胃多發息肉不影響壽命,胃多發息肉是良性疾病。息肉最常見的有炎症性息肉、增生性息肉、腺瘤性息肉,以及錯構瘤等。息肉可以通過胃鏡檢查來發現,同時可以做組織病理活檢來判斷其性質,大多數息肉不會惡變,極少數腺瘤性息肉,而且比較大的息肉會有惡變的風險……
A:胃鏡息肉切除一般需要休息3-5天,胃鏡息肉切除是指通過胃鏡,將胃內的息肉樣病變進行電切,切除之後局部會留有潰瘍面,必要時可以用金屬夾封閉創面,切除之後要觀察創面是否會出現出血,或者穿孔等併發症,所以手術之後一般要在醫院觀察1-2天,以便及時……
A:胃息肉並不嚴重,因為胃息肉是良性病,通過積極的監測和治療預後都非常好,並不會影響人的壽命。但是胃息肉根據其病理性質的不同、癌變的風險、行胃鏡的頻率,干預的方法有所不同。如果是炎症性息肉不需要特殊的干預,胃底腺息肉癌變率非常非常低。增生性息肉……
A:多長時間可以進食,根據胃息肉內鏡下所採取的治療方式而定。如果是小息肉,比如用牙器進行的治療,24小時以後就可以進食。這時候建議還是以碳水化合物為主,三天以後可以進行正常飲食。如果是增生性的大息肉,而且局部有癌變的可能,內鏡下的治療有可能採……
A:胃息肉的病因有多種情況,主要有慢性炎症,比如幽門螺桿菌的感染導致的胃息肉,還有一種是家族性的息肉病,是由於遺傳因素導致的胃黏膜的增生。還有一些偶然的一些因素,比如隨著年齡的增長,胃的一些黏膜發生病變可以導致胃息肉的發生,由於炎症導致的一些息……
A:做完胃息肉手術要注意24小時之內只能喝一些溫涼的白開水,24小時後,剛開始喝一點粥,三天後如果沒有不適的感覺,可以適當先吃一些軟的食物,比如說魚肉,還是比較好消化的。麵條,雞湯也是可以的,讓胃逐漸適應正常的飲食。需要注意的是,水果蔬菜等根莖……
A:多發性胃息肉手術以後患者在12小時以內需要全面的禁食禁水,因為進行胃腸道手術時患者需要全麻,在手術結束後患者腸道需要一定的時間來恢復。術後24至48小時以後,在觀察患者沒有發熱,噁心以及嘔吐等症狀以後,可以開始給患者進食流質食物,如米湯和青……

胃息肉相關醫院推薦

桃園市龜山區復興街5號
醫療中心
臺中市西屯區臺灣大道四段1650號
榮民醫院
台南市北區勝利路138號
大學附設醫院
臺北市北投區石牌路二段201號
榮民醫院
臺北市內湖區內湖路二段360號
大學附設醫院
臺北市中正區中山南路7號
大學附設醫院