台灣醫典百科
首頁
疾病百科
藥品查詢
醫院診所
藥局地圖
名醫推薦
健康專欄
問答
腦膜瘤
腦膜瘤症狀、原因、治療與預防保健 · 腦膜瘤完整疾病指南 · 腦膜瘤專業就醫指南
腦膜瘤就診指南
掛號科室:
神經外科
常見症狀:
頭疼、抽搐
好發人群:
45歲左右
是否遺傳:
無傳染性
是否傳染:
有遺傳幾率
發病部位:
頭部
相關檢查:
X線、CT檢查
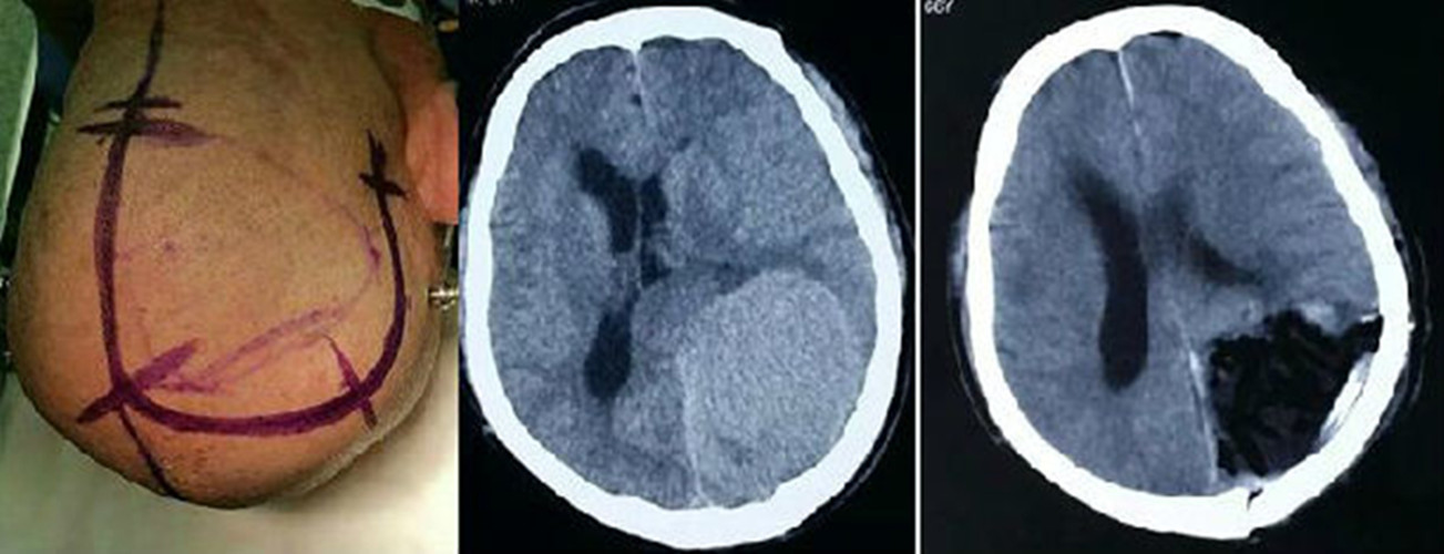
腦膜瘤圖片
腦膜瘤切除手術
大腦凸面腦膜瘤的表現如何
慢性頭痛可能是腦膜瘤的前兆
伽瑪刀治療腦膜瘤
伽瑪刀治療腦膜瘤效果
伽瑪刀治腦膜瘤
伽馬刀治療腦膜瘤
伽馬刀治療腦膜瘤效果
鞍區腦膜瘤的
小腦腦橋腦膜瘤
嗅溝腦膜瘤
伽瑪刀腦膜瘤鈣化
伽瑪刀治療良性腦膜瘤
腦膜瘤切片
腦膜瘤手術成功率
腦膜瘤手術後
腦膜瘤術後
腦膜瘤
腦膜瘤
腦膜瘤症狀CT
腦膜瘤相關文章
腦膜瘤手術後需要多久過危險期
2023-11-29
58歲癲癇大發作查出鐮旁腦膜瘤,經手術治療後痊癒
2023-12-14
腦膜瘤怎麼治療
2023-07-02
腦膜瘤好發部位
2023-11-01
良性腦膜瘤生長速度快嗎
2023-08-06
腦膜瘤怎麼複查
2023-08-03