慢性咽喉炎

慢性咽喉炎症狀、原因、治療與預防保健 · 慢性咽喉炎完整疾病指南 · 慢性咽喉炎專業就醫指南

慢性咽喉炎就診指南

掛號科室:
常見症狀:
咽部不適感、異物感
好發人群:
成年人
是否遺傳:
無傳染性
是否傳染:
無遺傳性
發病部位:
咽喉
相關檢查:
X線、CT檢查、血常規

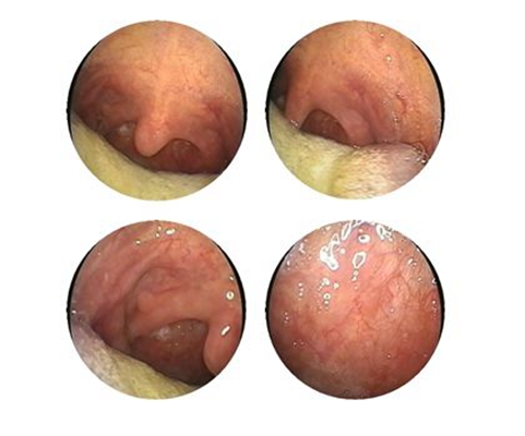
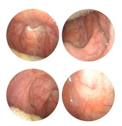
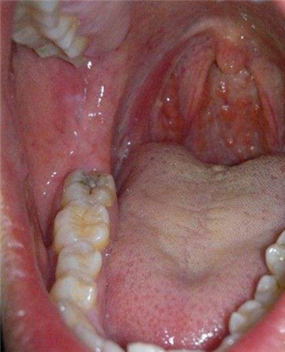
慢性咽喉炎圖片

喉部淋巴濾泡增生 (44)
喉部淋巴濾泡增生 (44)
喉部淋巴濾泡增生 (45)
喉部淋巴濾泡增生 (45)
喉部淋巴濾泡增生 (46)
喉部淋巴濾泡增生 (46)
喉部淋巴濾泡增生 (47)
喉部淋巴濾泡增生 (47)
喉部淋巴濾泡增生 (48)
喉部淋巴濾泡增生 (48)
喉部淋巴濾泡增生 (49)
喉部淋巴濾泡增生 (49)
喉部淋巴濾泡增生 (5)
喉部淋巴濾泡增生 (5)
喉部淋巴濾泡增生 (50)
喉部淋巴濾泡增生 (50)
喉部淋巴濾泡增生 (6)
喉部淋巴濾泡增生 (6)
喉部淋巴濾泡增生 (7)
喉部淋巴濾泡增生 (7)
喉部淋巴濾泡增生 (8)
喉部淋巴濾泡增生 (8)
喉部淋巴濾泡增生 (9)
喉部淋巴濾泡增生 (9)
喉部淋巴濾泡增生 (36)
喉部淋巴濾泡增生 (36)
喉部淋巴濾泡增生 (37)
喉部淋巴濾泡增生 (37)
喉部淋巴濾泡增生 (38)
喉部淋巴濾泡增生 (38)
喉部淋巴濾泡增生 (39)
喉部淋巴濾泡增生 (39)
喉部淋巴濾泡增生 (4)
喉部淋巴濾泡增生 (4)
喉部淋巴濾泡增生 (40)
喉部淋巴濾泡增生 (40)
喉部淋巴濾泡增生 (41)
喉部淋巴濾泡增生 (41)
喉部淋巴濾泡增生 (42)
喉部淋巴濾泡增生 (42)

慢性咽喉炎相關問答

A:慢性咽炎是常見疾病,容易發生在成年人,反覆發作,不容易治癒。慢性咽炎的治療主要是病因治療,如果將病因去除掉,慢性咽炎才有希望根治。因為導致慢性咽炎的病因很多,比如有一些全身疾病,糖尿病、貧血、肝臟疾病等等,機體的抵抗力差容易導致咽炎反覆發作……
A:慢性咽炎主要的原因之一就是急性咽炎治療不當,遷延下來所形成的。因此應當及時治療急性咽炎,當出現慢性咽炎時會有咳嗽、咳痰、咽部異物感,以及吞嚥障礙、燒灼感、刺痛等症狀,主要是靠局部治療,包括霧化吸入、噴霧劑以及口含片的治療。同時要避免各種理化……
A:慢性咽炎的根治,一般通過藥物很難達到根治的效果。因為食物、空氣都是通過咽部進入體內,所以很容易受到外界環境的影響,包括環境的因素、氣候的因素都有一定的影響,所以防止慢性咽炎的復發,很多情況下需要生活上的調整、飲食的調整,儘量避免辛辣刺激、過……
A:慢性的咽炎的病人會有咽異物感、咽燒灼感、咽乾不適等症狀,通常情況下只要注意飲食的情況,比如不要吃辛辣、刺激性的食物,多喝水,對於水果、蔬菜沒有特別的要求,還是要儘量的多吃一點水果、蔬菜。水果儘量選擇水分比較多的,比如西瓜,進食以後能夠起到利……
A:慢性咽炎的治療沒有最好的藥物,因為每個患者的病因以及症狀都是不一樣的,所以要根據患者的原因和症狀來選擇藥物。一般來說治療慢性咽炎的含片,比如有西地碘含片,西地碘含片具有消炎止痛等對症治療的效果,也可以使用中成藥的含片,比如銀黃含片,也有不錯……
A:慢性咽炎的症狀可能包括咽部的異物感、咽痛、咽癢、咳嗽、有痰,每個患者的症狀不一定完全相同,不同的患者可能某些症狀比較突出。治療方面主要是使用藥物治療,一般建議使用霧化治療,可以使用吸入用布地奈德混懸液進行霧化,每天1-2次。霧化治療能夠將藥……
A:患者如果有慢性咽炎,可以使用金銀花、胖大海、木蝴蝶等進行泡茶飲用,能夠對慢性咽炎的咽痛、咽乾、咽部灼熱感等等相關的症狀,有一定的治療改善效果。適當多喝水本身也有助於保持咽喉部黏膜的清潔、溼潤狀態,有助於改善咽炎的相關症狀感受。但是,如果患……
A:患者出現慢性咽炎的病情狀況時,如果咽痛、咽乾等炎症相關的症狀程度相對比較輕,有可能能夠在1-2周左右的時間逐步自行的好轉,甚至自愈。但患者需要注意對咽喉部位的保護,儘量少說話或者不說話,讓嗓子能夠充分的休息。飲食也需要注意清淡,避免吃辛辣……

慢性咽喉炎相關醫院推薦

桃園市龜山區復興街5號
醫療中心
臺中市西屯區臺灣大道四段1650號
榮民醫院
台南市北區勝利路138號
大學附設醫院
臺北市北投區石牌路二段201號
榮民醫院
臺北市內湖區內湖路二段360號
大學附設醫院
臺北市中正區中山南路7號
大學附設醫院