台灣醫典百科
首頁
疾病百科
藥品查詢
醫院診所
藥局地圖
名醫推薦
健康專欄
問答
口腔癌
口腔癌症狀、原因、治療與預防保健 · 口腔癌完整疾病指南 · 口腔癌專業就醫指南
口腔癌就診指南
掛號科室:
口腔科
常見症狀:
有腫塊、結節出現
好發人群:
所有人羣
是否遺傳:
無傳染性
是否傳染:
無遺傳性
發病部位:
口腔
相關檢查:
放射性核素檢查
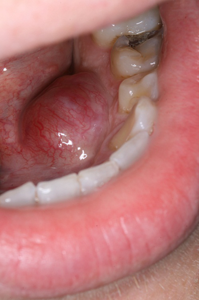
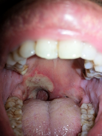
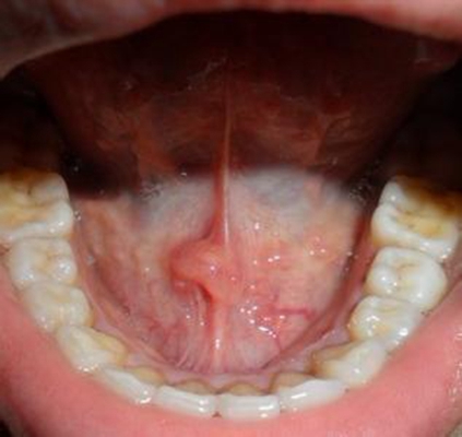
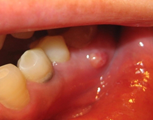
口腔癌圖片
口腔癌的前兆 (6)
口腔癌的前兆 (7)
口腔癌的前兆 (8)
口腔癌的前兆 (9)
口腔癌的前兆 (46)
口腔癌的前兆 (47)
口腔癌的前兆 (48)
口腔癌的前兆 (49)
口腔癌的前兆 (51)
口腔癌的前兆 (53)
口腔癌的前兆 (54)
口腔癌的前兆 (37)
口腔癌的前兆 (38)
口腔癌的前兆 (39)
口腔癌的前兆 (4)
口腔癌的前兆 (40)
口腔癌相關文章
口腔癌轉移症狀
2023-10-07
口腔癌是什麼症狀
2023-07-10