肺腺癌

肺腺癌症狀、原因、治療與預防保健 · 肺腺癌完整疾病指南 · 肺腺癌專業就醫指南

肺腺癌就診指南

掛號科室:
常見症狀:
咳嗽、痰血、低熱
好發人群:
所有人羣
是否遺傳:
無傳染性
是否傳染:
無遺傳性
發病部位:
肺及肺系
相關檢查:
ECT、X線檢查

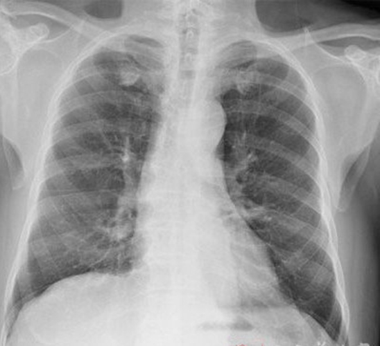
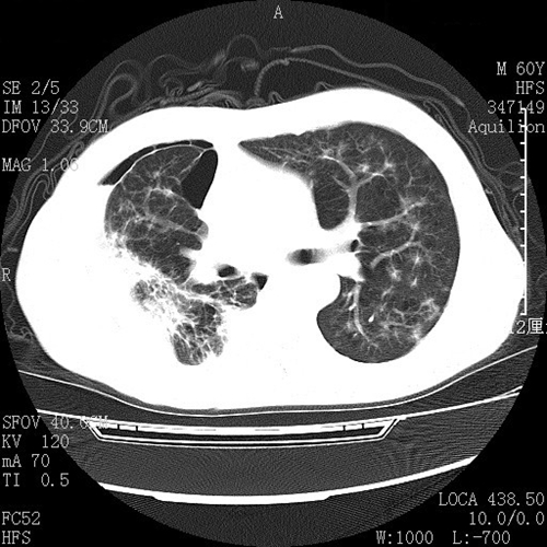
肺腺癌圖片

左肺腺癌術後胸腔內
左肺腺癌術後胸腔內
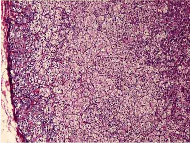
中分化肺腺癌
中分化肺腺癌
轉移性肺腺癌怎麼治療
轉移性肺腺癌怎麼治療
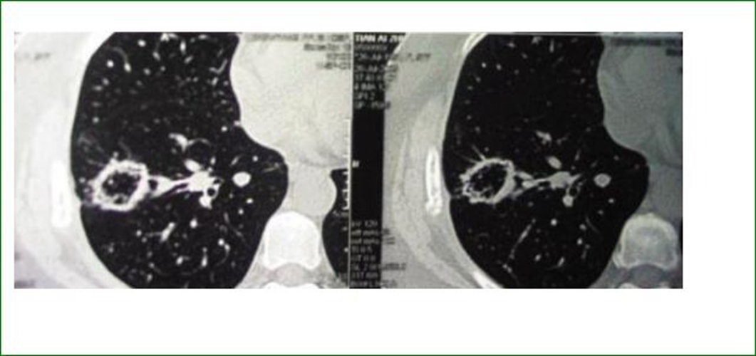
右上肺腺癌
右上肺腺癌
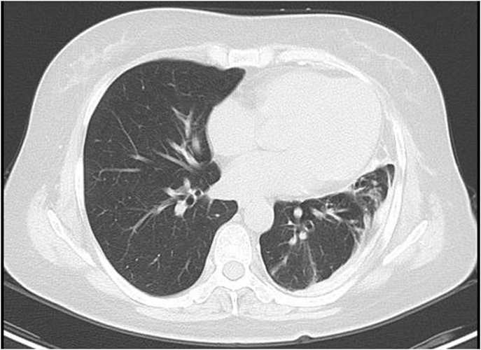
右下肺腺癌 的
右下肺腺癌 的
有效治療肺腺癌患者
有效治療肺腺癌患者
晚期肺腺癌患者左鎖骨轉移
晚期肺腺癌患者左鎖骨轉移
吸菸肺腺癌症狀
吸菸肺腺癌症狀
小細胞型肺腺癌
小細胞型肺腺癌
一位早期肺腺癌患者的手術
一位早期肺腺癌患者的手術
浸潤性肺腺癌早期症狀
浸潤性肺腺癌早期症狀
老人肺腺癌腹水腳腫
老人肺腺癌腹水腳腫
女性肺腺癌患者的臨床症狀
女性肺腺癌患者的臨床症狀
腎腫瘤轉移肺腺癌症狀
腎腫瘤轉移肺腺癌症狀
晚期肺腺癌患者的手象
晚期肺腺癌患者的手象
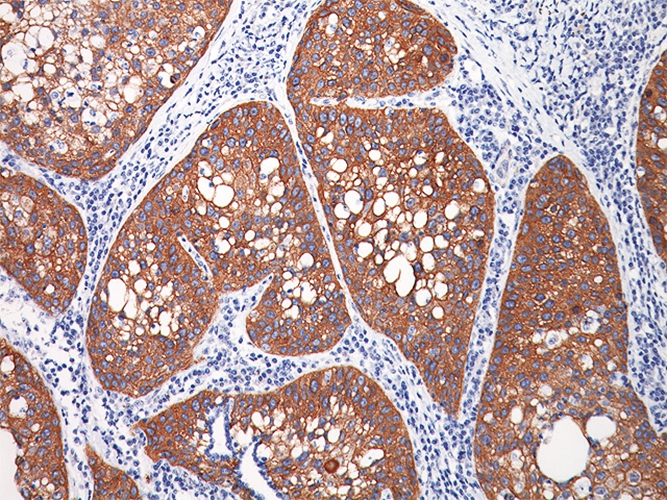
高分化肺腺癌鏡下
高分化肺腺癌鏡下
高分化肺腺癌切片
高分化肺腺癌切片
肺腺癌腫瘤
肺腺癌腫瘤
肺腺癌左肺全切
肺腺癌左肺全切
肺腺癌胸椎轉移瘤
肺腺癌胸椎轉移瘤

肺腺癌相關問答

A:肺腺癌病人晚期吃靶向藥,一般的存活期可能是2-3年,也可能是3-5年的時間。有些肺腺癌晚期的病人吃靶向藥之後療效會比較好,可能存活7-8年的時間,甚至是存活更長的時間。還有些肺腺癌晚期的病人吃靶向藥物效果並不好,生存期可能會縮短到一年左右的……
A:肺腺癌是非小細胞肺癌當中常見的病理類型,近年來肺腺癌在我國的發生率在逐年的上升。從病理學的角度上來看,肺腺癌屬於起源於支氣管腺體的一種惡性腫瘤。肺腺癌可以發生在各級支氣管,以發生在小支氣管為多見。如果是周圍型肺腺癌,臨床症狀在早期的時候並……
A:並不能說肺腺癌哪裡轉移最可怕,關鍵的是看肺腺癌轉移到不同的部位之後,是不是引起了各組織器官功能的異常,從而導致病人出現痛苦,說明如下:1、肺內的轉移、肝轉移、腦轉移,甚至骨轉移:都是對病人的生命會造成不良影響的情況,可以給病人帶來不同程度……
A:肺腺癌最有效的中藥這種說法不科學,中醫藥辨證治療疾病一般來說是要根據患者的症狀、結合他的舌,來進行辨證論治,常見如下:1、清金化痰湯加減:肺腺癌的患者如果出現了咳嗽、咳黃膿痰,或者是咳膿血痰,伴有胸高脅脹、胸痛、小便黃、大便幹、舌紅苔黃膩……
A:肺腺癌是很嚴重的惡性腫瘤,肺腺癌的病人如果能夠早發現、早診斷、早治療,大部分病人通過根治性手術切除,一般可以治癒。肺腺癌中期的病人手術治療的同時,需要配合化療、放療、靶向藥物治療來控制病情,防止復發,中期的肺腺癌病人五年生存率可達60%左右……
A:肺腺癌是很嚴重的惡性腫瘤,早期的肺腺癌病人如果能夠早發現、早診斷、早治療,大部分病人通過根治性手術切除,一般可以徹底治癒。肺腺癌病人發生轉移的位置,在對側的肺組織、縱隔的淋巴結、鎖骨上的淋巴結、頸部的淋巴結等等。肺腺癌中晚期的病人通過手術……
A:浸潤性肺腺癌是常見的一類惡性腫瘤,早期的病人如果能夠早發現、早診斷、早治療,大部分病人通過根治性手術切除都可以治癒,一般不會影響壽命。中期的肺腺癌病人在手術治療的同時,需要配合化療、放療、靶向藥物治療等等,控制腫瘤的生長、發展,防止腫瘤的……
A:肺腺癌晚期的病人症狀會越來越嚴重,去世前會出現呼吸困難、皮膚青紫、胸痛、胸悶、劇烈疼痛,是常見的一些症狀。肺腺癌是很嚴重的惡性腫瘤,早期的肺腺癌病人如果能夠早發現、早診斷、早治療,大部分病人通過根治型的手術切除,一般是可以徹底治癒的。中期……

肺腺癌相關醫院推薦

桃園市龜山區復興街5號
醫療中心
臺中市西屯區臺灣大道四段1650號
榮民醫院
台南市北區勝利路138號
大學附設醫院
臺北市北投區石牌路二段201號
榮民醫院
臺北市內湖區內湖路二段360號
大學附設醫院
臺北市中正區中山南路7號
大學附設醫院